南宁一怀胎9个月的孕妇和胎儿双双去世,就因为一颗小小的牙齿
- 备孕育儿
- 2025-04-03 09:48
如果孕期有出现牙疼的情况,千万不要强忍,该治疗还是要治疗,及时就医才能减少风险!孕期牙病别硬扛,硬扛真可能会出大事!南宁一怀胎9个月的孕妇和胎儿双双去世,就因为一颗小小的牙齿。这次悲剧的发生,给所有孕妈妈敲醒了警钟:孕期牙病,千万千万要引起重视!
南宁一怀胎9个月的孕妇因牙痛就医,在5家医院就诊后去世,事件如下:
@南国早报 在2022年3月29日报道了一则新闻,广西南宁一位怀胎9个多月的妈妈,因牙痛就医,在5家医院就诊后去世。
事发当天,李先生带着怀孕9个月的雷女士去到医院治疗并待产。入院前,雷女士已被牙痛发热困扰了一周,期间也先后到市内4家医院就诊。
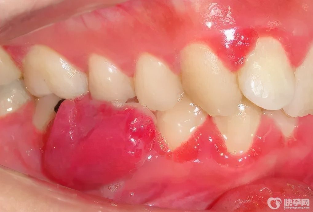
经医院诊断:雷女士存在双侧下颌下间隙感染,右下智齿阻生、冠周炎,脓毒血症等病状。
李先生最初的想法是问医院看能不能先生小孩,再治疗妻子的口腔疾病。
但医生说:不是想生就能生的,得看检查结果。
可就在一系列检查后,雷女士突然就不行了,经医生抢救后,雷女士因为抢救无效死亡。腹中的宝宝虽在医生的帮助下产出,但出生后呼吸微弱,没有自主呼吸,最终没能救回来。
事后,医生告诉李先生:雷女士的死亡原因为脓毒症。
一夜之间,痛失至亲,李先生痛不欲生,他不明白为什么一个小小的牙齿疾病,为何会出现大人和小孩双双死亡的严重后果!
孕期牙病,一定要重视,该治一定要治
孕妈们,千万别再被“牙病不是病”这句话给误解了,牙疼就是病,必要的时候就得治!下面我们来看看来自网友的评论:
网友1:我之前牙周炎肿痛的时候,医生就特别问,小孩生过没有。说最好在怀孕前把牙齿看好,智齿该拔的拔。
网友2:要去专业医院,我的也是牙龈出脓好几天,孕中期,跑了几家医院,在武汉,同济医院武大口腔都不给我治,几天没睡觉,最后去了省妇幼,十分钟搞定,当天就好了,省妇幼的医生说再发展下去就是脓毒血症了,现在看这个新闻,真是后怕。
网友3:孕期牙齿很容易出问题,建议买个冲牙器,我孕期牙齿不舒服都是靠冲牙器拯救的,隔几天冲一下,保持牙齿缝干净就不会那么容易发炎。
网友4:孕期牙齿很容易出问题,建议买个冲牙器,我孕期牙齿不舒服都是靠冲牙器拯救的,隔几天冲一下,保持牙齿缝干净就不会那么容易发炎。
牙疼差点真要命,一颗智齿让孕妇落险境
深圳就有一位怀孕8个月的妈妈,因为牙病在鬼门关走了一早。
怀孕8个月的刘女士一直被牙痛困扰,她担心药物会伤害的宝宝,就一直不敢用药,硬扛着。可牙痛并没有因为她的硬扛而得到缓解,几天后,牙疼越来越严重,脸也肿了起来,连吃饭喝水都张不开嘴。
到情况如此严重,她才被家人紧急送到了医院,到医院后检查,刘女士不仅仅是下颌肿大、呼吸困难,还有高血糖、重度贫血等症状。
因为在孕期,医生给刘女士进行了保守治疗,但危机并未解除,因为宝宝胎心异常,医生给刘女士进行了剖腹产。
在手术后,刘女士更是因为生孩子导致了颌面重度感染并引发了全身中毒,需要立即手术切开气管排脓。因为一个牙病,宝宝早产,妈妈也深陷险境!
孕前和孕期如何做好口腔保健
首先孕前要到正规的医院检查口腔,把存在的问题先处理好,补牙治疗牙齿,特别有牙周炎患者,孕前治疗非常重要。
其次要注意妊娠期的口腔卫生,坚持做到每餐饭后漱口,睡前刷牙,避免食物残渣在口内发酵产酸。
妊娠期恶心、呕吐的孕妇更应该注意清除存留在口腔内的酸性物质,可常用2%的小苏打水漱口,可以抑制口腔细菌的生长繁殖,中和酸性物质,保持口内的碱性环境,使用软毛刷刷牙时不要过分用力。
应多吃一些含有丰富维生素和蛋白质的食物,如牛奶、鸡蛋、肉等,要多吃富含维生素c的新鲜蔬菜和水果,必要时还可以服用维生素c片。
另外牙龈有急性炎症和炎症明显的话,孕妇应及时到医院请医生治疗,不要随意服用药物以免造成胎儿畸形。
如果口内有智齿,引起智齿冠周炎的患者,应该及时在孕前将智齿拔除。
总结:悲剧告诉我们孕妈妈虽不能随便用药和拍牙片,但还是能做一些治疗。要知道,孕期牙齿长期发炎疼痛可能让宝宝体重偏低,剧烈的疼痛也可能会引起流产等严重后果。比如孕期不幸智齿发炎,通常情况下需要及时就医治疗。孕妈妈如果害怕影响胎儿的健康而忍着不做治疗,但这样对孕妇和胎儿来说未必是好事




发表评论