克氏综合症47xxy自然怀孕的几率大吗?
- 试管婴儿
- 2025-06-08 09:30
老公查出克氏综合症47xxy,医生建议做精液常规,离心之后看有没有精子,然后再考虑怎么治疗,克氏综合症47xxy自然怀孕的几率大吗?
克氏综合症自然受孕的几率非常小,但也不是完全没有可能受孕,克氏综合症建议选择试管婴儿助孕,临床上,克氏综合症通过试管怀孕的成功案例也是有的,找精子的办法主要是:
1、精液常规,离心之后找精子;
2、做显微取精手术,看看能不能找到精子,一般来讲,50%机率可以找到。
克氏综合症可深度试管助孕
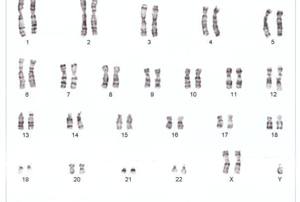
婚后一直没有小孩子,在医院做了3项检查,精液常规,血液检查和染色体,查出染色体47xxy克氏综合症,克氏综合症能生育吗?
克氏综合症是染色体数目异常导致的疾病,发病原因可能为父母染色体异常、受精异常或染色体畸变导致,对寿命没有影响,也是能结婚的,大部分是能过正常的性生活的,但是不能生育,因为这病人的精子不能产生,要想要孩子只能他人精子人工授精或领养,克氏综合症怀孕可通过两种办法:
1、考虑显微取精,睾丸切开取精,有精子可做二代试管;
2、如果找不到可以用精子库精子怀孕。
克氏综合症是染色体数目异常导致的疾病
坐标北京,结婚三年,老公三个月前查出了克氏综合症,医生说怀孕的可能性很小,可是我们想要一个宝宝,想知道克氏综合症可以治疗吗?
目前对不育或无精子症尚缺乏有效治疗方法,长期乃至终身的雄激素替代治疗是治疗该病的主要措施,主要目的是促进患者的第二性征发育和提高性功能,使患者具有男性化特征,增加社会适应能力,改善精神状态,提高生活质量并预防并发症。另外,辅助生殖技术可以为克氏综合症患者的生育提供机会。


发表评论