试管移植34天孕囊大小标准一览!没胎心也还有希望
- 试管婴儿
- 2023-04-24 08:44
其实做试管的大多数准妈妈都不知道移植34天孕囊多大正常,要知道怀孕的周数不同其孕囊的大小也不一样,某些情况下只要孕囊大小正常即便没有胎心也还有怀孕的希望!
移植34天没有胎心胎芽正常吗
移植34天没胎心还有希望吗
虽说胎心是判断宝宝发育情况的参数,但并不是说没胎心就不正常,比如移植34天没胎心其实还有希望,这时候需检测孕酮和HCG是否正常,如正常则有保胎的希望。
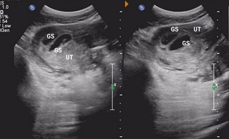
移植34天孕囊多大正常
移植34天相当于怀孕了51天到54天左右,即刚怀孕7周-8周的样子,如果移植的是3天鲜胚,那么就是怀孕51天,如果是移植的5天的囊胚就是54天。
怀孕54天孕囊大小标准介绍
此时的胎儿长到1.66厘米,胎形已定,可分出胎头、体及四肢,胎头大于躯干。B超可见胎囊约占官腔1/2,胎儿形态及胎动清楚可见,并可看见卵黄囊。
移植34天相当于怀孕几周
移植34天相当于怀孕8周左右,因为移植怀孕不同于一般怀孕,所以在移植成功后计算孕周时要先判断是囊胚还是鲜胚移植,不同移植方式计算孕周的时间不同。一般试管婴儿助孕朋友计算末次月经的方法如下:
移植34天相当于怀孕多久了:
1、若移植第3天胚胎,末次月经日期为移植日减去17天。例如:某女士移植日是3月20日,即她的末次月经为2月3日;
2、若移植第5天、第6天囊胚,末次月经为移植日减去19天。
关于移植后常见症状
试管移植的14天内,准妈妈总会被各种不适症状所困扰,为了让各位准妈妈们保持好的心态,不影响到胚胎着床这里特整理了不同时间可能出现的一些症状,解答了关于移植后少量阴道流血、腰酸轻微腹痛、尿多、屁多等感觉的原因。
若您生理情况特殊或既往多次失败,可添加生育顾问,转呈生殖中心主任医师评估后再作考量,切勿听信非医学专业人士的备孕建议。
试管胚胎移植热门疑问汇总
试管婴儿验孕成功并不是终点,在怀孕这条路上总会有很多问题困扰着准妈妈们,这里带大家一起了解移植后1到45天中大家关注的一些热门问题。


发表评论