优质资讯:皮肤过敏10种症状图片,赶紧对照自查一下
- 备孕育儿
- 2025-10-03 10:06
过敏是免疫系统对通常对身体无害的过敏原或外来成分的反应。一些常见的诱因包括宠物毛屑、花粉、食物、药物和化学品。根据过敏原的不同,可能会涉及不同的症状和体征。下面就来带大家了解下皮肤过敏10种症状图片。
皮肤过敏10种症状图片
1、湿疹
湿疹通常与过敏有关,大多是对牛奶、鸡蛋等过敏。,常见于面部、口腔、眼睛、颈部、上身、手臂或腿部。不会,但是会很痒,一般2-3个月会自行消失。如果症状严重,请及时就医。
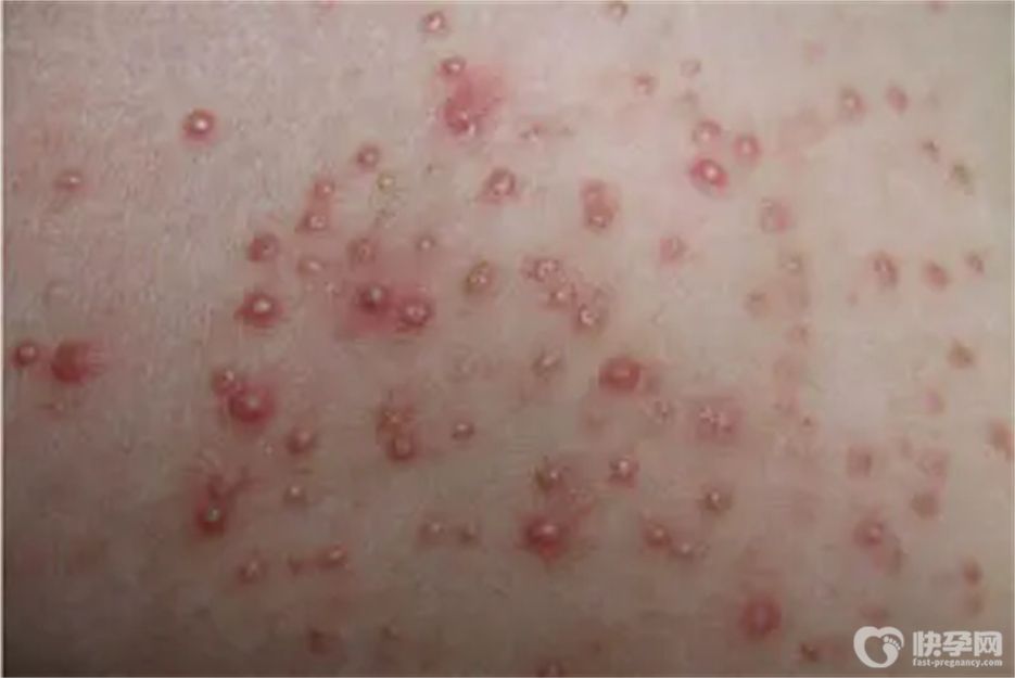
2、荨麻疹
荨麻疹还会在皮肤上出现大小不一、形态各异的红疹,多为吃海鲜、药物等过敏引起。皮肤会突然红肿,发痒,出现大小不一的风团,来来去去很快。
3、食物过敏
食物过敏的表现可以是各种皮疹,常见的有面部、口腔周围或躯干的红斑,可引起瘙痒、脱屑,并导致色素沉着。部分食用野菜可被阳光暴晒,皮肤可接触到光敏性皮炎,即面部、颈部、手部慢性水肿,全身乏力、恶心、腹泻、腹痛等症状。
4、过敏性皮炎
如紫外线过敏可导致日光性皮炎、接触性过敏、食物过敏等。过敏性皮炎的皮疹多发生在面部、颈部和手臂。不痛,但是很痒,有小水泡。请注意不要接触过敏源。
5、神经性皮肤炎
神经性皮炎是成人常见的瘙痒性皮肤病。发病原因一般认为与精神因素有关,如情绪激动、过度劳累、焦虑等。瘙痒剧烈是这种病的特点,抓挠后皮肤增厚,但界限清晰,无鳞屑。前期偏红,后期有色素沉着,一般发生在脖子周围、肘后、臀部、小腿侧。
6、毛囊炎
毛囊炎的初期症状是在身体的很多部位,如头皮、面部、小腿、阴部、颈部、腹部、背部等都会长出一片片鲜红或深红色的丘疹。,而且有痒的感觉。儿童多在头部,成人多在头皮和腋窝。
7、体癣
体癣初期,皮肤表面出现红斑、丘疹,并迅速向四周扩散,形成圆形皮损。边缘可出现密集的丘疹、水疱、脱屑,导致边缘红肿,而圆心的炎症会逐渐减轻,只有轻微的色素沉着。
8、牛皮癣
银屑病常发生于头部、四肢、胸部、背部等。上面说的皮疹是微红、鲜红色的,后期会增大、扩大,然后合并成一大片。皮疹呈水滴状、硬币状、地图状等。有剧烈的痒感,不要憋着,会导致炎症扩大,感染。
9、白癜风
一般来说,皮肤上出现白斑,呈光滑无屑、灰白色或淡白色,边界模糊,向周围正常皮肤扩散,白斑会相互融合。这种顽固的皮肤病不会传染,但是很难治愈。主要是影响美观,不影响健康。如果及早治疗,效果会更好。
10、典型的丝状疣
丝状疣是一种在皮肤上凸起的疣。它是一个单一的,柔软的,丝状突起,顶端呈乳头状瘤样,顶端呈角质。看起来像倒挂在皮肤上的小指甲,呈正常肤色或棕灰色。一般1-2年内可自然消退,少数会复发。
小结
过敏患者生活中应尽量避免吃辛辣刺激食物,如葱、姜、蒜、浓茶、咖啡等,也尽量少吃牛羊肉、海鲜、鸡蛋、牛奶等。在饮食调节的同时也要保持良好的休息以及睡眠,以便促进病情恢复。











发表评论