去除牙垢9个小妙招,让你的牙齿白又亮
- 备孕育儿
- 2025-11-02 10:58
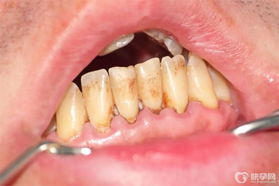
生活对于长期吸烟,牙齿上有很多牙垢的人来说,当他们张嘴和别人说话的时候,大多数时候别人都会闻到有牙垢的人,他们会闻到一点口臭。下面就来给大家分享去除牙垢9个小妙招。
去除牙垢9个小妙招
1、刷牙
一定要掌握正确的方法,最好是Pap法刷牙。也就是说,保持牙齿与牙齿成45°角,然后摇动牙刷刷牙3分钟左右,可以去除残留的牙齿,减少牙垢的形成。
2、小苏打
平时刷牙的时候可以在牙刷里蘸点小苏打,一周用两次。长此以往,可以让牙齿更白更亮。
3、超声波洁牙
有条件的话可以去口腔科检查牙垢,然后用超声波洗牙抛光,恢复牙齿本来的颜色。通常情况下,超声波洁牙建议一年做一到两次。
4、使用牙贴
最简单有效的方法就是在家使用牙贴。牙贴可以美白皮肤,但需要注意的是,使用牙贴后必须每隔6小时刷牙一次。
5、双氧水擦拭
双氧水可以消毒牙齿,清除氧化物。在家里可以用毛巾蘸医用双氧水擦牙。做完后记得刷牙,彻底漱口。
6、红糖刷牙
将适量红糖放入口中15分钟左右,使牙齿全部浸泡在糖液中,然后用硬牙刷反复刷两三分钟,再用淡盐水刷牙——两分钟,每天早晚各一次,连续一周。
7、食醋
把醋含在嘴里,在嘴里冲洗,但不要吐出来。两三分钟后吐出来,然后用牙刷刷,最后用温水漱口。或者刷牙的时候,在牙膏上滴两滴醋刷牙,坚持-期,去除牙垢。
8、橘皮
干净的橘皮磨成细粉,每天刷牙的时候加上一点牙声,不仅让牙齿洁白,还能让口腔充满香味。因为橘皮有很强的防腐杀菌作用,可以长期有效的固定你的牙齿。
9、漱口水
漱口水中含有百里香粉、薄荷醇、水杨酸等成分,可以抑制牙菌斑的形成,强化牙釉质。而且漱口水可以滋润口腔黏膜,起到人工唾液的作用,提高你的消化能力。
小结
最常用的方法是每天刷牙。刷牙可以清除牙垢,牙垢附着在牙齿表面,最终导致牙垢和牙菌斑的形成。如果大块的牙垢附着在牙齿表面,就需要牙周治疗了。使用专门的设备去除这些刺激物,保证牙周组织的健康。


发表评论