女性长期喝陈皮茶的6个危害,不妨了解下
- 备孕育儿
- 2025-11-04 09:32
现在越来越多的人喜欢用中药来养生,尤其是使用一些中药来泡水喝,不仅方便,还有养生的功效。例如陈皮这味药材,很多人都喜欢用来泡水喝,陈皮虽好食用也是要注意量的。下面就来带大家了解下女性长期喝陈皮茶的危害
有哪些。
女性长期喝陈皮茶的危害
1、上火
女人喝陈皮茶会上火,因为陈皮茶性温。过量饮酒或长期使用会引起口臭、痤疮、皮肤油脂分泌过多等症状。上火的人如果喝陈皮茶,会加重上火。
2、增加胃酸
女性喝陈皮茶会增加胃酸的分泌,因为陈皮茶本身就有开胃健脾的功效。但如果他们喝多了,胃酸会破坏人体的胃肠粘膜,从而导致胃痛、胃溃疡等症状。
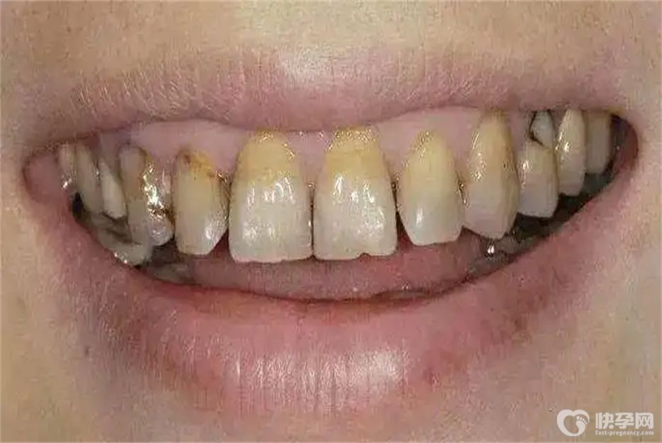
3、牙齿变黄
喝完陈皮茶后,一定要记得及时漱口,因为陈皮茶含有大量的茶色素。如果长期喝陈皮茶后不漱口,牙齿很容易变黄,或者会产生腐蚀牙齿的弊端和副作用。
4、阻碍吸收
长期喝陈皮茶时,避免长期喝陈皮茶和牛奶。陈皮茶含有一定量的水杨酸,牛奶含有丰富的蛋白质。如果两者同时饮用,容易因融合而凝固,可能引起消化不良或阻碍营养的吸收。
5、引起身体不适
女性长期过量饮用陈皮茶会引起身体不适,陈皮本身性质温和。长期过量饮用陈皮茶会导致口干。
6、出现气虚
长期喝陈皮会导致气虚症状。陈皮本身具有理气健脾、祛湿化瘀的功效。长期饮用其茶,会出现倦怠乏力、气短懒言、精神萎靡、头晕耳鸣等症状。
小结
陈皮主要能起到理气化痰的功效,但长期服用可能会引起上火,所以一定要在医生的指导下按照疗程使用,既能达到很好的效果,又能避免副作用。一般中药药茶副作用都比较小,但是一定要在医生的指导下使用,这样才能发挥药效,把副作用降到最低。


发表评论