盘点女性长期喝大麦茶的5个危害,建议你尽早了解下
- 备孕育儿
- 2025-11-18 09:09
大麦茶应该是现阶段很多人喜爱的一种茶,相信大家都不会陌生,许多餐馆都用的是大麦茶。大麦茶不同于其他茶,有一种独特的清香味道,口感比较适宜,容易让人接受。但许多人都不知道女性长期喝大麦茶的危害,下面就来带大家了解下。
女性长期喝大麦茶的危害
危害1、导致低血糖。
由于大麦茶是大麦嫩叶制成的汁液,饮用后能在一定程度上调节血糖,但并不适合低血糖的人群饮用,以免血糖降低的情况,对身体造成不利的影响。
危害2、引起肠胃不适
大麦茶是一种清凉饮料,非常适合夏秋季饮用。喝大麦茶可以降火,清热解毒。但如果长期喝大麦茶,可能会因吃生冷食物而肠胃不适,尤其是在春夏两季,情节严重的话还可能会出现腹泻的情况。
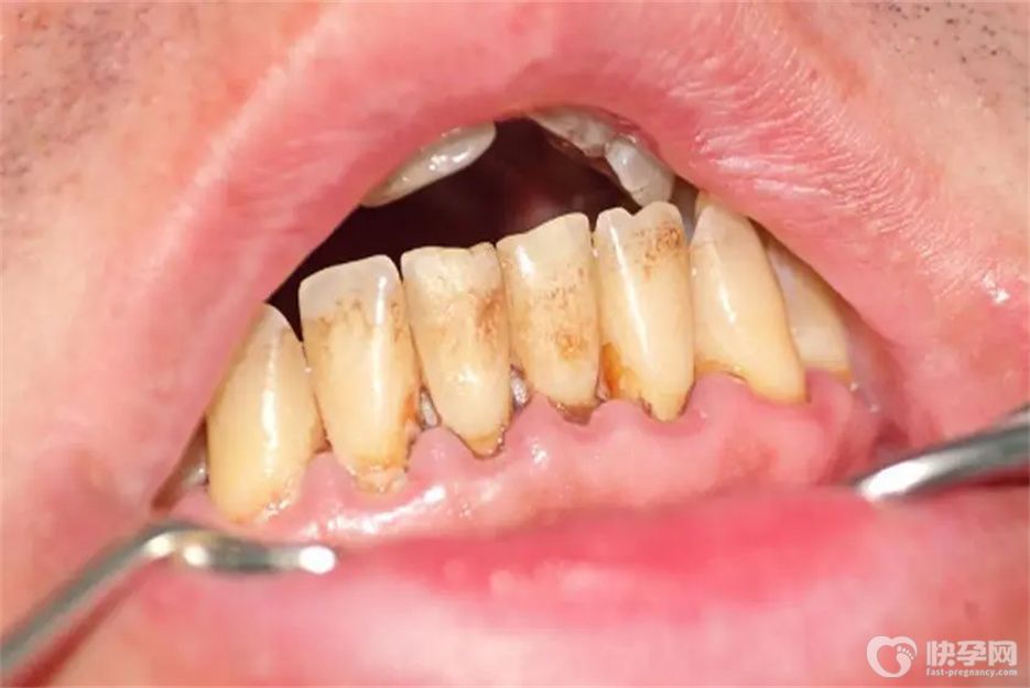
危害3、增加牙垢
适当喝点大麦茶可以去油腻,减肥,是很多女性朋友的最爱。但如果作为减肥茶长期饮用,可能会导致牙齿上的牙垢增多,不利于牙齿的健康和美观,也容易让人失去信心。
危害4、导致回奶
哺乳期的女性不宜长期大量饮用大麦茶,因为回奶的情况非常严重,大大减少了乳汁的分泌,不利于逐渐断奶。为了避免断奶的副作用,建议哺乳期的女性先不要喝大麦茶。
危害5、、导致脾胃气虚
虽然说大麦茶可以消食,帮助脾胃运化,但是并没有健脾的功效。如果饮食停滞,消化不良,多喝大麦茶自然有好处。但如果肠胃虚弱的人长期服用大麦茶,不仅不能健脾胃,还可能导致脾胃气虚。另外,如果腹胀是湿热或积食引起的,就不适合喝大麦茶,否则会加重病情。
小结
大麦茶含有人体所需的多种营养物质。是一种非常适合女性朋友养生饮用的茶。适量饮酒能促进机体新陈代谢,有排毒养颜、润肠通便、延缓衰老的作用。女性适量大量喝茶,还能起到健脾瘦身、清热消暑、助消化、去油腻等多种作用。能有效防止因热量、脂肪、碳水化合物摄入过多而导致的肥胖,还能起到降火的作用。


发表评论