卵母细胞、卵子、卵泡的区别,卵母细胞的分类
- 试管婴儿百科
- 2026-02-28 09:30
临床上根据卵母细胞不同发育时期和结构,将其分类为卵原细胞、初级卵母细胞、次级卵母细胞、卵子,对于很多打算要宝宝,成为备孕的妈妈来说,详细了解它们之间的区别是很有必要的,多了解一点相关知识,可以帮助你在怀孕的道路上更加顺畅。
卵母细胞最初被称为卵原细胞
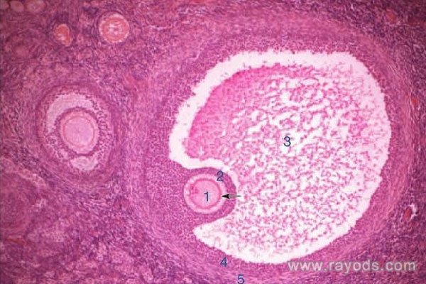
卵母细胞的分类
女性从初生时期,卵巢就开始形成初级卵母细胞,此类细胞是卵原细胞陆续分裂和分化形成的,它们都停留在前期Ⅰ阶段不再生长发育,直到女性生理期开始才会逐渐苏醒并继续分裂成次级卵母细胞,并且从卵巢中排出,临床上根据其特点,将整个卵母细胞芬分类为以下几种:
1、初级卵母细胞
即卵原细胞经过有丝分裂增殖后即将进行减数分裂的卵母细胞,从女性初生时就已经具备,直到性成熟都处于停止发育的阶段;
初级卵母细胞从女性出生时就以具备
2、次级卵母细胞
初级卵母细胞经第一次减数分裂后产生的较大的几乎包含全部初级卵母细胞细胞质的子细胞,次级卵母细胞会从女性卵巢中排出,并且进入输卵管中进行第二次减数分裂;
注:初级卵母细胞在分裂后除了会形成次级卵母细胞还会产生极体,极体无受精能力,并且结构很小属于单倍体。
3、卵细胞(卵子)
卵细胞有卵巢产生,所有哺乳动物在出生时,卵巢内已经存在未成熟的卵细胞,而且在出生后卵子数目会不断增加,卵子是人体最大的细胞。
卵母细胞、卵子、卵泡的区别
卵母细胞是卵子发生过程中进行减数分裂的卵原细胞,它含盖初级卵母细胞、次级卵母细胞和成熟卵母细胞,而卵母细胞的最终产物是卵细胞,也就是常说的卵子。
而卵子是需要在一个充满液体的囊泡中长大成熟的,这个囊泡被称之为卵泡,在人体中卵母细胞和卵子所存在的位置是不一样的:卵母细胞存在于卵巢中,卵子是在输卵管里。
卵泡包裹发育中的卵子
所以简单而言,在卵母细胞的发育阶段中,卵子是最终产物,即意味着已经是成熟状态,在卵子的形成过程中,卵母细胞是一种基础细胞,它相当于人体的体细胞,共有23对染色体,卵泡里包裹着卵细胞,卵细胞由23条染色体。
人体的排卵过程
卵子是由卵巢排出,卵巢中存在无数个卵泡,每个卵泡里面都存在一个卵子,当卵子不断发育长大,卵泡也会不断跟着变大,直到被撑破,卵子就会排出来,各个过程即为排卵。
这是卵子就会被输卵管伞端所拾取并且输送至输卵管壶腹部,等待精子受精结合形成胚胎,如果在一段时间内没有完成受精,卵子也会在排卵后的12-24消失自动消失(退化)。
输卵管是受精的重要场所
综上所述,从卵母细胞、卵子、受精卵、胚胎、胎儿、新生儿这个过程,最初的源头可以算是卵母细胞,所以女性在备孕的时候,通常需要通过B超监测排卵再用房,可有有效提高怀孕几率。
另外,在辅助生殖领域,常说的卵母细胞冷冻保存其实指的是卵细胞,也称为冷冻卵子,这样做的目的是为了将发育成熟的卵子保存起来,已被后期受精使用。




发表评论