孕12周胎儿小鸡彩超图分享,两腿间有凸起是男孩不可信
- 试管婴儿经验
- 2023-05-02 09:41
众所周知,女性在怀孕之后是需要做各种检查的,在怀孕12周的时候就需要进行彩超检查,主要是为了进一步了解胎儿的健康状况。但是有很多父母对于胎儿的性别非常好奇,所以就会通过彩超图片来判断胎儿的性别,认为胎儿两腿之间有凸起怀的多半就是男孩,没有凸起的就是女孩,这种方法是没有科学依据的,彩超图会受到胎儿位置、检测位置等多方面因素的影响,所以建议大家不要盲目相信。
B超检查能够进一步了解胎儿的健康状况
先怀孕,后付款-出生才是硬道理47岁1个卵泡一次成功经验分享不出国做三代-疫情下的试管新对策57岁供卵试管婴儿成功经验分享
助孕交流群
方法/步骤
生男生女一直都是大家非常关注的一个话题,现在是一个倡导男女平等的新社会,所以生男生女都是一样的。并且现在在我国有明文规定,非医学需要是不能够对胎儿的性别进行鉴定的,所以即使医生知道了胎儿的性别也是不会告诉父母的。家长们为了满足自己的好奇心,就会通过民间的各种方法来预测胎儿是男是女,像孕期口味、彩超图、肚子形状等都是非常常见的。
B超图看男女是预测生男生女的一种
通过孕12周胎儿彩超图看是男是女的方法是非常流行的,因为在孕12周的时候胎儿的生殖器官已经基本发育完全,通过B超检查是能够准确得知胎儿性别的,所以通过彩超图看胎儿性别是众多孕妈妈都非常好奇和想要尝试的,下面就为大家详细介绍一下通过孕12周彩超图如何看男女。
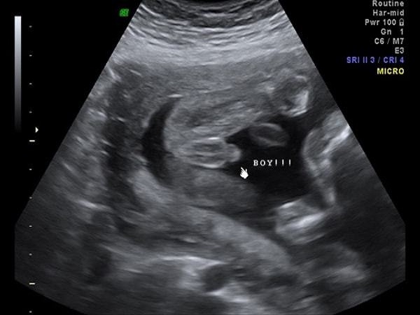
1、看胎儿两腿之间
男孩:如果孕妇怀的是个男宝宝的话,那么彩超图上胎儿两腿之间就应该有凸起,凸起的部分就是男孩的生殖器官,是男性的睾丸;
胎儿两腿之间有凸起就是男孩
女孩:如果怀的是个女孩的话,那么图片上胎儿的两腿之间就不会有凸起,可能会有三条白线,这是女性***的形状,是女孩的典型象征。
2、看胎儿的尾部
男孩:彩超图上如果胎儿的尾部翘的比较高,和背部形成了超过45度的夹角,那么怀的多半就是男宝宝;
B超图中尾部平平的就是生女孩
女孩:如果胎儿的尾部是平平的,和背部处于平行的状态的话,那么就说明孕妈妈怀的是个漂亮的女孩子。
Tips:
以上就是通过孕12周彩超图看胎儿性别的方法,当然需要注意的是,这些方法都是没有任何科学依据的,所以是不可信的。及时有宝妈预测的结果和实际结果相同,那么也可能是巧合,建议大家不要太过当真,最好是不要太过在意孩子的性别,平时的时候影响多关注一下胎儿的健康状况,这才是最重要的。
孕12周胎儿小鸡彩超图准不准
孕12周的时候通过胎儿的小鸡彩超图看生男生女是完全不准确的,因为这种方法是没有任何科学依据的。我国是明令禁止对胎儿的性别进行鉴定的,所以在做彩超检查的时候医生一般也是不会截取有关于胎儿性别特征的图片的,所以通过彩超图特征判断胎儿性别是不可靠的,具体原因如下:
通过彩超图看男女的准确率只有50%
1、受胎儿位置的影响:在进行B超检查的时候胎儿的位置是会影响性别的判断的,如果宝宝的手正好在两腿之间,那么就很可能会被误以为是胎儿的小鸡,进而认为胎儿是个男孩;
2、受检测角度的影响:在进行B超检查的时候医生是会不断变化检测位置的,所以出现来的彩超图也可能是侧面的组合,视觉上的误差所导致胎儿的两腿之间有凸起的形状。
Tips:
总而言之,孕12周胎儿小鸡彩超图是完全不准确的,建议大家还是以最终分娩的结果为准,这些民间的预测胎儿性别的方法都是不可靠的,准确率都是一半一半的,没有什么参考性,所以大家不要盲目相信。





发表评论