图文详解卵泡发育的四个阶段,每个阶段的特征不同要注意
- 试管婴儿经验
- 2023-05-06 10:19
每个女性在一个月经周期都会有一定数量的卵泡在卵巢中发育,但是只有一枚或两枚卵泡可以发育成熟并成功排出卵子。卵泡的发育一般会经历四个阶段,首先是原始卵泡,这是卵泡发育的初始形态;其次是窦前卵泡,这个阶段的卵泡处于初级卵泡与次级卵泡分化阶段;之后是窦状卵泡这个阶段卵泡中有卵泡液形成;最后则是排卵前卵泡,这时卵泡体积显著增大,即将排卵。
卵泡发育会经历四个不同时期
先怀孕,后付款-出生才是硬道理47岁1个卵泡一次成功经验分享不出国做三代-疫情下的试管新对策57岁供卵试管婴儿成功经验分享
助孕交流群
方法/步骤
女性自出生以后卵巢中就会储存70万~200万个原始卵泡,当长到青春期的时候就只剩下30万个,当她们长到育龄期的时候每个月大概会有3-11个卵泡在卵巢中发育,但是只有一枚优势卵泡可以完全成熟并排出卵子。而女性一生中仅有400-500个卵泡发育成熟并排出卵子,占了全部卵泡数量的1%左右。
卵泡的发育会经历四个阶段,分别是原始卵泡、窦前卵泡、窦状卵泡以及排卵前卵泡,不同发育阶段的卵泡有各有特点,下面就具体和大家分享一下卵泡的发育过程。
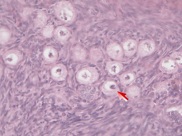
1、原始卵泡:是指处于减数分裂双线期的初级卵母细胞和周围单层颗粒细胞层环绕组成;
特征:正常情况下在女性月经干净以后,卵巢内部就会有卵泡开始发育,这个时候卵泡的直径大约在5-6mm左右。
原始卵泡图片
2、窦前卵泡:处于初级卵泡与次级卵泡分化阶段,当初级卵母细胞充分生长后,其卵泡周围围绕透明带与多层颗粒细胞层,然后形成次级卵泡。
特征:此阶段的卵泡生长需要受有要具备三种特异性受体,包括卵泡刺激素、雌二醇、睾酮。此时的卵泡会被两层卵泡膜包裹,即卵泡内膜与卵泡外膜。
窦前卵泡图片
3、窦状卵泡:这个阶段的卵泡在雌激素和FSH的影响会形成卵泡液,最后融合形成卵泡腔;同时产生芳香化酶,促使雌激素分泌量增加;
特征:此时卵泡的直径可增大至0.2~0.4mm,细胞间产生液体,堆积成腔。
窦状卵泡图片
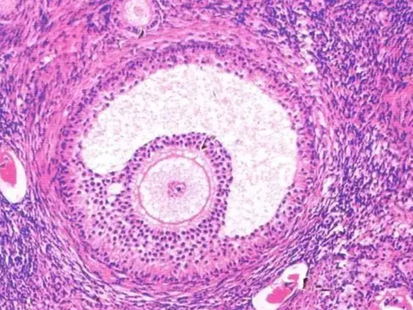
4、排卵前卵泡:卵泡发育的最后阶段,这个时期的卵泡腔继续增大,卵泡的体积也会增加,排卵前的卵泡结构为卵泡外膜、卵泡内膜、颗粒细胞、卵泡腔、卵丘、放射冠、透明;
特征:此时的卵泡已经发育到18-24mm左右,作为优势卵泡,即将排出卵子。
排卵前卵泡图片
Tips:
以上是关于卵泡发育四个阶段的介绍,其实卵泡的发育出了可以按上述阶段分类外,还有人将卵泡发育分为原始卵泡﹑初级卵泡﹑次级卵泡和成熟卵泡这四个阶段,其实这些表述都是在介绍卵泡的发育过程。
卵泡发育速度
正常情况下卵泡会在女性月经来完以后发育生长,月经刚刚来完的初始卵泡的大小在5-6mm左右,而卵泡每天生长的速度在1.5-2mm,按着这个发育速度,在月经第14天的时候卵泡的大小基本就已经在18mm左右,这个时候卵泡达到优势状态就会开始排卵。
有生育计划的夫妻,如果想要快速怀孕就需要在排卵期同房,这期间卵子排出后与精子相遇的几率最大,能极大提高怀孕的几率。建议有条件的女性可以通过排卵试纸或医院B超的方式监测卵泡的发育情况,确定自己的生育情况,如果卵泡的直径25mm左右的时候很可能就是卵泡黄素化不能排卵,建议做进一步检查,查明原因要给予治疗。





发表评论