21周b超男女腿部间的区别图分享,亮点白线揭晓性别秘密
- 试管婴儿经验
- 2023-05-09 09:09
众所周知,胎儿的性别需要通过B超检查才能够准确判断,但是由于我国禁止非医学需要的性别鉴定,因此在怀孕21周的时候做B超检查医生是不会告诉家长孩子的性别的。但其实这个时候胎儿的生殖器官已经基本形成,所以家长们是可以自己通过B超中胎儿腿部间的特点来判断男女的,一般认为孩子的腿间有凸起来的亮点的就是男孩,如果双腿之间有白线的,那么就是女孩。
21周通过B超可准确判断宝宝是男是女
先怀孕,后付款-出生才是硬道理47岁1个卵泡一次成功经验分享不出国做三代-疫情下的试管新对策57岁供卵试管婴儿成功经验分享
助孕交流群
方法/步骤
虽然B超检查是判断胎儿性别的重要手段,但是通过B超的数据来鉴定宝宝是男是女准确率并不高。一般情况下,医生在进行B超检查的时候会刻意避免拍摄到胎儿的生殖器官,另外B超图的清晰度也并不会很高,因此通过彩超里胎儿腿部间的区别来判断性别也并不可靠,很可能会出现失误,因此建议大家也不要太过相信。
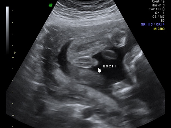
宝宝腿部间有亮点就说明是男孩
B超检查是女性怀孕期间非常重要的检查之一,主要是为了进一步了解宝宝的生长发育情况,虽然也可以进行胎儿性别的鉴定,但是由于法律不允许,所以医生是不会告知的。因此,就有不少父母通过B超图自己判断,下面就为大家详细介绍一下b超男女腿部间的区别。
1看亮点:如果在B超检查图上看到胎儿的两腿之间平平的没有亮点的话,那么就说明怀的是女孩,反之,所以B超结果图上胎儿腿部间有凸起的尖尖的一个亮点的话,那就是男孩的生殖器官,说明怀的是男宝;2看白线:如果在B超检查图上看到宝宝的腿间有三条白线,这一般就是女宝宝的***,说明怀的是个女孩。如果B超单上没有白线,腿部之后圆圆的一坨的话,那就说明怀的是男孩。
Tips:
总而言之,通过B超单上孩子腿部间的白线和亮点就能够准确判断出胎儿的性别。除此之外,还能够通过B超数据来进行判断,一般认为孕囊长和宽相差一倍以上的就是男孩,相差不大的就是生女孩。当然这些方法的准确率也不是百分之百的,所以大家一定要理性看待。
网友真实经历分享
现在民间判断胎儿性别的方法有很多,通过B超图胎儿腿部间的区别进行性别判断是目前非常流行的一种方式,并且相比之下这种方式具有一定的科学性。不过很多朋友还是非常纠结的,不知道到底该不该进行尝试,下面是我为大家整理的几个试过的宝妈的经历分享,有需要的朋友可以了解一下。
B超判断胎儿性别的准确率为50%
网友一:大排畸的时候我录了视频,看的时候发现宝宝的腿部间有非常明显的三条线,据说有白线的就是生女孩,一开始我也不信,结果后来我真的是生了个女儿;
网友二:怀我儿子的时候很多人看我的肚子都说我要生个女儿,后来做了B超检查,跟着网上的说法看了孩子的腿间发现有一个尖尖的圆圆的一坨,因为比较模糊所以也不敢确定,结果后来我真的生了个男孩;
网友三:我21周的时候做的B超,听说B超单可以看胎儿性别,自己也回去试了试,看了宝宝的腿部之间的特征,因为若隐若现的,所以什么也没有看到,后来我也顺利的生了个女儿,满足了我老公要女儿的心愿。
Tips:
综上所述,通过B超孩子腿部间的区别来判断胎儿性别还是有一定准确性的,有相关需求的朋友都是可以试一试的。但是需要注意的是,生男生女都是一样的,要顺其自然,不要过于纠结孩子的性别,要多关注孩子的健康。



发表评论