13周b超图男女腿部间真没区别,别看有凸起就瞎说
- 试管婴儿经验
- 2023-05-10 10:10
我们都知道,胎儿的是男孩还是女孩是孕妈妈们非常好奇的事情。在怀孕中期的时候,女性都需要进行B超检查,通过B超检查不仅可以了解胎儿的发育情况,而且还能够判断出胎儿的性别,但是由于国家法律不允许,医生并不会直接告知父母胎儿的性别。因此不少孕妇就通过B超男女腿部间的图片进行性别的预测,因为男孩女孩的腿部间特征是有区别的,所以这种方法也是有一定准确性的,但同时也会因为检查角度等因素而造成误差。
孕13周是做B超检查的最佳时间
先怀孕,后付款-出生才是硬道理47岁1个卵泡一次成功经验分享不出国做三代-疫情下的试管新对策57岁供卵试管婴儿成功经验分享
助孕交流群
方法/步骤
通过B超检查判断胎儿性别是目前准确鉴定胎儿性别的方式之一,因为在女性怀孕16-24周的时候,胎儿的各器官发育已经基本完成,性器官也已经发育完全,所以是能够看到胎儿的是男孩还是女孩的。由于男孩和女孩的生殖器官存在较大的区别,因此通过B超单男女腿部间的特征和图片是能够看出性别的,大家可以尝试一下。
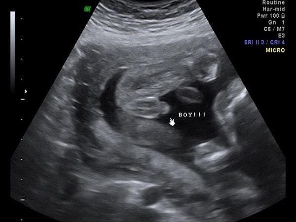
男孩B超腿部间图片
1、男孩:一般来说,B超图片是能够看清楚胎儿腿部间的特征的,如果B超单上胎儿的腿部间出现凸起的东西,或者是有圆圆的和尖尖的亮点的话,那就是男性的外生殖器官,说明怀的就是男宝宝。
女孩腿部间的B超图片
2、女孩:在怀孕16周的时候,胎儿的生殖器官已经发育比较完全了,B超检查报告单中如果胎儿腿部间出现了三条白线,那就是女孩子***的形状,也就说明女性怀的是个女宝宝。
Tips:
由此可见,通过B超男女腿部间的区别和特征还是很好判断出性别的,但是需要注意的是,由于B超报告单的图像还会受到检查角度等因素的影响,因此腿部间有凸起并不一定就是男孩,结果并不是百分之百准确的,建议大家不要盲目相信。
b超单子怎么看男女
其实除了通过B超单上男女腿部间的区别和特征能够预测胎儿性别,B超单上还暗藏着很多预示胎儿性别的玄机,像通过B超单上的英文字母、孕囊的形状、孕囊的数据等也都是可以预测出胎儿是男生女的。由于有很多宝妈都不知道应该如何进行预测,下面就为大家详细介绍一次啊B超单子看男女的多种方式。
B超中的孕囊形状也能够预测男女
1B超单子上右上角的英文字母也暗含了胎儿的性别,一般认为“f"表示女孩,“m”表示男孩;2检查中孕囊的形状也能够预测性别,如果孕囊是茄型或者是长条形的,那么就是男孩,如果是圆形或者是椭圆形,就说明是女孩;3孕囊的数据也是可以判断生男生女的,如果孕囊的长和宽相差一倍以上,那生男孩的几率比较大,反之相差不大的就是生女孩。
Tips:
以上就是B超单子中暗藏的性别玄机,对于肚子中宝宝性别非常好奇的家长们可以尝试一下。但其实这些方法的准确率都是不确定的,因此建议大家不要太过当真,以免预测的结果和实际不符影响身心健康。
预测生男生女的方法
众所周知,生男生女一直以来就是大家津津乐道的一个话题。虽然国家法律和政策不允许到医院进行胎儿性别的鉴定,但是这也无法阻止孕妈妈们通过民间的一些方法来预测生男生女,像看孕妇走路、例假第一天、b超男女腿部间的区别图、妊娠纹、孕囊形状、孕囊大小等比比皆是,并且不管是否科学、准确,孕妈妈们都愿意去尝试,这里就为大家整理了一些民间流传的预测生男生女的方法,大家可以参考一下:
| 男孩女孩着床后的不同 | 晨尿和酒精测试男女的方法 | 怀男孩女孩酒精测试结果图 |
| b超男女腿部间的区别图 | b超两点基本是男孩 | 6一7周孕囊大小看男女 |
| 21,18,13三体看男女公式 | nt1.6mm看生男生女 | 四维彩超单子看男女图解 |
| 二胎100%生男孩的症状 | 二胎胸涨严重的是男孩女孩 | 国内验血查男女 |
| 韩国测孕棒蓝色是男孩女孩 | 后壁男孩多还是女孩多 | 怀男宝上身的感觉 |
| 双顶径股骨长判断男女公式 | 怀男孩女孩图片对比 | 怀男孩的乳房特点 |
| 九个最准怀男孩胎梦 | 手腕看男孩女孩图片 | 看孕妇走路分男孩女孩 |
| 例假第一天看生男生女 | 妊娠纹判断生男生女简易图 | 怀男孩的染色体18数值 |
| 上怀是男孩还是女孩 | 上一胎预知下一胎男女 | 血常规数据看男女 |
| 害喜早的是男孩 | 最灵的测男女土方法 | 孕妇梦见下身见红生男生女 |
| 孕妇梦见黑蛇生男生女 | 孕期起夜次数看男女 | 暗示生男孩的孕期征兆 |
| 孕四十天测男女偏方 | 二胎右手握拳看男女准确率 | 孕囊大小数据看男女对照表 |
| 孕囊形状看男女对照表 | 胎儿十男九绕民间说法 | 唐筛单子上的男女暗示 |
| 95%准的唐筛结果看男女 | / | / |
Tips:
事实上现在能够准确进行胎儿性别预测的就只有B超检查、无创DNA检查、羊水穿刺等,但是由于国内禁止非医学需要的胎儿性别鉴定,因此父母是不能够从医生口中得知胎儿是男是女的。而以上这些方法大多数都是没有科学依据的,准确率不高,建议大家不要太过当真,还是多关注胎儿的健康比较好。




发表评论