怀孕三个月的胎儿图
- 优生优育
- 2023-01-05 09:00
#怀孕三个月婴儿是什么样子的#
超声医师回答你:
3个月,也就是约12周。
此时胎动已经开始活跃了,只是孕妈妈可能还感受不到。但在超声下却可以看到TA很活泼哟。
其实早在约6周的时候就可以看到宝宝有节律的心跳了。
除了心跳,我们还能看见TA的整个身体雏形了。
手手脚脚都能看到一些。
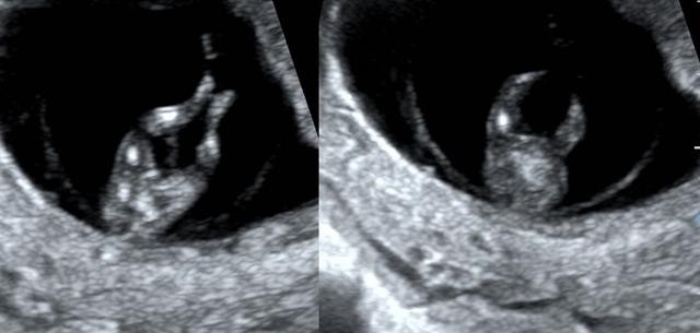
甚至有时还能看见TA在肚子里舞蹈。
上图就是一个两脚朝天,此时我们可以在这个切面观察TA 的股骨长,股骨长的测值也可以作为矫正孕周的一个重要参数。
当然,这个时期我们除了重点观察TA的肢体以外,此时需要重点关注NT。
NT测量一般在11-13+6周内进行。
此时测量彩具有参考意义,但测量NT完全看宝宝的心情。
因为TA 有时候真的很不给面子。。。
比如:
有这样趴着的;
还有倒立的
还有直接给个背影的。。。。
总之,这个时期胎儿已基本成型,在12周内的孕妈妈一定要记得去正规医院产科咨询咯,因为此时需要测量NT了。
好了,今天就分享到这里,如果你还有其它超声问题,欢迎关注或评论区留言哦。









发表评论