宫外孕最明显的征兆 教你一招识别宫外孕
- 备孕知识
- 2023-05-30 09:09
宫外孕最明显的征兆 宫外孕,一种不正常的妊娠情况。我们都知道,小胎儿是呆在妈妈子宫内发育成长的,如果受精卵着床在子宫以外的位置,那么对孕妈妈和胎宝宝都是不利的。
很多网友提问:宫外孕最明显的征兆是什么?其实,宫外孕也是有早孕反应的,只不过因为着床地方不一样而已。下面,我们一起来了解一下关于宫外孕的那些事情。
宫外孕最明显的征兆
1、孕吐并伴随腹部坠痛
宫外孕,用早孕试纸检测也是会显阳性,早期也会有孕吐的情况。一些有过宫外孕经历的朋友说,早期除了孕吐比较厉害以外,还伴随腹部坠痛感非常明显。这是因为大多数宫外孕发生在输卵管,是不能正常发育的,所以会引起身体的不适症状。
2、阴道出血
宫外孕会引起阴道出血现象,可能在初期的出血量比较少,颜色看上去较深,但到后期的话,出血量可能会较多,并伴随腹痛的情况。所以怀孕早期发现阴道出血时,要引起警惕。
3、孕酮低
宫外孕时,孕早期孕酮会比较低。孕妇孕酮低的情况,除了是黄体功能不足以外,也不能排除是宫外孕导致的。
宫外孕做掉的最佳时间
宫外孕的情况,最好在怀孕8周之前做处理。
医生称,宫外孕会在怀孕68周期间裂开,一旦裂开的话必须及时赶往医院做医治,否则对孕妇的生命安全有危协。医治宫外孕的最好时间,应该是在裂开之前,越快越好。
女性朋友一旦发现怀孕之后,一定要在停经六周内去医院做确诊,医生会用专业的手段做检查确认,只有确定宫内正常妊娠的情况下,才可能将胎儿宝宝好好的养护长大。
宫外孕的检查方法
1、早期诊断用HCG测定
HCG检测,是用于早期诊断宫外孕的主要方法。临床上常用酶联免疫试纸法测定尿HCG,这种方法非常简便、快速,适用于急诊患者。不过,这种方法也有它的弊端,它的系定性试验灵敏度不高。
2、腹腔出血时用阴道后穹窿穿刺
阴道后穹窿穿刺,这是一种腹腔出血时的检测诊断方法,适用于怀疑有腹腔内出血的患者。该方法比较先进科学,操作方法简便、快速。不过,这种方法无内出血、内出血量很少、血肿位置较高或直肠子宫陷凹有粘连时,可能抽不出血液,因而后穹隆穿刺阴性不能否定输卵管妊娠存在。
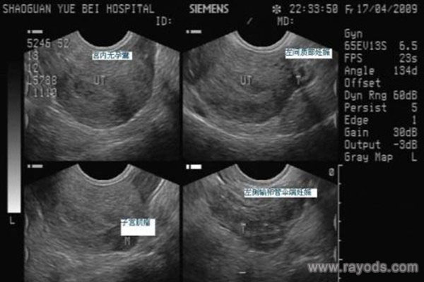
3、B超(超声波)诊断
用B超检测宫外孕,准确性比较高,是目前医院常用的方法。宫外孕是子宫以外的妊娠情况,正常妊娠停经7周时,用B超方能查到胚芽与原始心管搏动。如果探查不到的话,可以结合HCG测定是否宫外孕。
4、腹腔镜检查
腹腔镜检查,是检测宫外孕的一种方法。这种方法比较先进、便利,它可以检查治疗同时进行,避免二次伤害。对于宫外孕患者而言,能够更好地保护其生育能力。



发表评论