经常痛经、月经失调?当心是子宫腺肌症!
- 月经疾病
- 2023-06-24 07:55
痛经、月经失调(经期延长、月经量增多)是困扰不少女性的烦恼,但大家往往当作常见的妇科病而没有引起足够的重视,其实这很可能是患有子宫腺肌症的症状。
子宫腺肌症可致不孕
广州市红十字会医院妇科主任朱金虎表示,子宫腺肌症号称“不死的癌症”,是子宫内膜腺体和间质侵入子宫肌层,形成弥漫或局限性的病变。简单来讲,子宫内膜具有活性,在女性经期会剥落,内膜侵入子宫肌层后,出血受阻,容易引发子宫非感染性炎症与肌层疤痕化,导致子宫发生膨胀,周而复始,使子宫失去弹性,继而影响月经周期。子宫腺肌症临床上的典型表现便是逐渐加重的痛经以及月经过多。
除痛经及月经过多,它的危害还在于影响女性生育,腺肌症患者通常较多的合并有子宫肌瘤,较少的合并有子宫内膜异位,70%-80%左右的重症患者、30%左右的轻症患者都存在生育难题。
子宫腺肌症严重影响患者生活,有的患者不间断使用止痛药、止痛针来缓解症状。有的患者长期疼痛难忍甚至要求妇科医生将子宫一切了之。子宫切除以及等到绝经后虽可使症状消失,但有不少是期盼但尚未做母亲的患者,她们急切的渴盼有效的治疗。
重症患者优先选择微创介入治疗
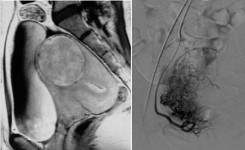
朱金虎主任表示,随着医学的进步,子宫腺肌症的治疗现在已经有多种方法,通常分为药物治疗与手术治疗。药物治疗适合症状轻微者,可通过皮下及肌肉注射药物,打针后上曼月乐环,症状缓解后再取环备孕;手术治疗中的微创介入治疗是需保留生育功能,以及维持女性社会心理完整(不少女性对切除子宫怀有抵触心理)的重症患者的优选,所谓介入治疗就是利用影像学技术进行子宫动脉栓塞处理,或使用消融电极经腹部插入子宫病变区,从而使病灶坏死,同时保留子宫,保障生育功能,术后极少有复发情况。
通过妇科与介入科强强联合,为有强烈生育意愿以及要求保留子宫的子宫腺肌症患者提供介入治疗腺肌症的选择,建议有需求的患者可以咨询广州市红十字会医院妇科。
另外,朱金虎主任还表示,合并子宫肌瘤的患者同样可以采用微创介入治疗保留子宫,尤其适合于子宫肌瘤剔除术后复发、有多次腹部手术史、不能耐受或不愿意手术治疗者,给女性一个健康的身心,圆她们做母亲的心愿。
子宫腺肌症的病因尚不明确,虽多发于育龄期妇女,近年来有患者年轻化趋势,可能与人工流产和刮宫有关,因此需避免过多宫腔操作,同时月经期做好自我保健,防寒保暖,莫做剧烈运动,控制情绪,避免内分泌失调,也可减轻子宫腺肌症的发生。
子宫肌瘤栓塞术影像
张女士有10年痛经史,从月经初潮就开始有轻度痛经了。她生了孩子后痛感逐渐加重,起初服用止痛药还管用,但时间久了药效微弱,近5年止疼药已渐渐失效,她痛经时脾气暴躁无法工作,还严重影响家庭和谐。张女士曾主动寻求治疗,得知自己是子宫腺肌症合并子宫肌瘤,她担心上治疗环影响卵巢功能,又担心口服新型孕激素导致体重增加,吃了三个月后又不再继续服用,症状又回到从前。
张女士的丈夫听闻广州市红十字会医院妇科主任医师朱金虎具有丰富的妇科治疗经验,便带张女士前来求医,朱金虎主任分析病情及听取张女士诉求后,建议张女士采用消融介入术治疗子宫腺肌症,经过MRI评估其子宫与肠管关系后,为张女士顺利实施了子宫腺肌症消融术。术后张女士的痛经症状已经消失,其爱人也愉快告诉朱金虎主任他们在考虑二胎的事宜了。
专家介绍:
朱金虎,妇科主任,主任医师,硕士研究生,广东省保健协会妇幼分会常委,广州医学会肿瘤分会委员。
擅长妇科恶性肿瘤的腹腔镜手术治疗,各种困难子宫腹腔镜切除术,擅长复杂宫腔粘连及子宫粘膜下肌瘤电切术以及阴式手术。精通月经过多的保留子宫手术。熟练掌握女性不孕症宫腹腔镜手术治疗及药物调节,患者受孕率高。

发表评论