卵黄囊正常范围是多少?卵黄囊大小对照表
- 备孕知识
- 2023-03-09 12:17
女性正常怀孕后,受精卵着床发育,开始形成孕囊、卵黄囊等,通常卵黄囊的出现时间在孕5周左右,之后会逐渐发育变大,随后胎盘发育又会变小直至消失,所以不同孕周卵黄囊大小通常有一个正常范围,偏大、偏小都需要引起重视。
卵黄囊的正常范围
卵黄囊指的是胎盘组织最原始的物质,对早期胚胎具有非常重要的意义,临床上通过监测其结构、大小等可以判断胚胎是否存在异常,由于每个孕周卵黄囊的大小会发生变化,所以只要处于正常范围都不用过于担心。
通常来说卵黄囊的正常范围大概在3-8mm之前,一般不会超过8mm,超过或者低于这个范围都属于异常,比较容易引起流产,对于绝大多孕妇,怀孕6周左右做B超检查,就可以看到宫腔内由卵黄囊。
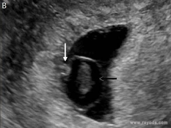
卵黄囊会随着孕周的推移出现增大
卵黄囊的大小通常都是以它的长和宽来判断,临床上一般以横径作为判断其标准大小,卵黄囊会随着孕周的推移,出现一个增大的情况,在增加到一定值的时候,又会慢慢变小直到消失,具体的对照表如下:
孕周 胎儿大小 卵黄囊大小 4周 0.2cm 胚胎很小,B超下看不见其大小 5周 0.4cm 羊膜腔扩大,可见小卵黄囊,约占宫腔不到1/4,约3mm左右 6周 0.85cm 胎儿分化,卵黄囊发育变大,约4mm 7周 1.33cm 胚胎初具形态 胎芽及胎心可见,卵黄囊约5mm 8周 1.66cm 胎儿形态及胎动清楚可见,约5-6mm 10周 2.83cm 胎儿各器官均已形成,卵黄囊囊壁开始退化,逐渐变小 12周 4.58cm 外生殖器初步发育,胎盘发育形成,卵黄囊消失
正是由于卵黄囊大小和孕周有一定的联系,所以在临床上我们可以通过公式来推算出女性的怀孕天数,具体的计算方法为:卵黄囊的长度加上宽度最后加上其高度,然后除以3以后,最后的结果加上25就可以得到怀孕天数。
卵黄囊偏大
在妊娠5-10周,通常卵黄囊的内径上限不会超过5-6mm,最高不会大于8mm,当孕期检查卵黄囊的大小超过这个值,那么其自然流产的风险就会增高,需要格外注意。
一般来说出现偏大的原因可能是激素失调导致,或者黄体功能太强,当超过8mm,甚至大于1mm时,一定要多休息,保持生活规律,在饮食上注意避免使用生冷、刺激的食物,然后观察一段时间,看大小是否回归正常。
临床上有的卵黄囊偏大可能导致胎儿畸形,不过曾有过卵黄囊超过8mm但是胚胎存活的报道,因此出现此种情况需要密切结合超声复查,及时诊治。
卵黄囊偏小
卵黄囊过小的临床意义目前知之不多,极小的卵黄囊可以是正常胚胎发育早期的正常表现,也就是怀孕时间太短,或者孕期营养不良所致。
另外,很早前有研究称妊娠第8-12周若卵黄囊2mm可能是与预后不良相关,然而由于早期妊娠末,正常卵黄囊开始逐渐减小,因此在评估卵黄囊大小时应结合孕周。
当发现卵黄囊小于预期时应谨慎,建议结合超声复查观察看一看,后续如果有胎芽发育和胎心的搏动,那么胚胎就没有问题,若复查卵黄囊依然小,没有胎芽发育,则考虑为胚胎停育。



发表评论