超雌综合症女性并非外貌都漂亮,这三大症状才是判断依据
- 试管婴儿经验
- 2023-09-04 10:30
超雌综合征对很多人来说都比较陌生,其实这种症状是属于染色体异常的一种,表现为X染色体在三条及以上,这类患者不像其他的染色体疾病那样有明显的缺陷,但是会有以下特征:1、外形比一般女性高大,可能伴有眼距宽、乳距宽等特点;2、少数智力发育迟缓,且X数目越多智力越低;3、可能存在小子宫,部分患者生殖系统功能异常。
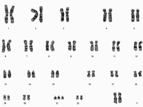
超雌综合征患者的染色体核型异常
先怀孕,后付款-出生才是硬道理47岁1个卵泡一次成功经验分享不出国做三代-疫情下的试管新对策57岁供卵试管婴儿成功经验分享
助孕交流群
方法/步骤
一般女性染色体核型是46XX,但是有的女性存在47XXX,甚至有少部分为48XXXX,49XXXXX的情况,这种情况就属于染色体异常,而X都知道是代表的女性基因,这种染色体异常则被称做超雌综合征,有这类症状的患者大部分发育正常,没有明显的临床表现,不过也存在一些症状。
一般女性的染色体核型是46XX
很多人在了解到超雌综合征就是比正常人多一条或几条X染色体后,都很疑惑“超雌综合征患者是不是都长得很好看?”其实不是的,超雌综合征是一种染色体疾病,虽然一般不会与正常人存在差异,但是也不会因为多一条X染色体就比常人好看,而且这类患者一般会存在三个方面的特征,具体内容如下:
1、外观上:绝大多数超雌综合征患者表型正常,与一般女性没有差距,但通常身材会比一般女性高大,少部分患者可能伴有眼距宽、乳距宽、短头畸形以及小头等特点;
超雌综合征患者在外观上没有突出特征
2、智力上:少数患者的智力有轻微发育迟缓、学习困难、语言技能差的特点,而且X数目越多智力越低,同时该群体患精神异常的几率比一般人群要高;
3、生育上:一般来说对生育影响不大,但部分患者存在生殖系统功能异常,部分患者存在小子宫,还有少数患者在青春期后有不同程度闭经或月经不调,部分患者表现为生育能力低下,生殖无生育能力。
Tips:
以上三大方面的特征就是超雌综合征患者的表现症状及特征,而这些特征其实都不符合很多人对超雌综合征患者的幻想,这部分群体并没有因为多的X染色体十分漂亮,反而会存在一些异常,且超雌综合征同其他染色体疾病一样会遗传,并且X数目越多,遗传的几率越大,因此建议这类患者在产前做好诊断分析子代相关风险,或者通过三代试管助孕。



发表评论