揭秘卵黄囊消失最佳时间,超过这个孕周数可能有问题
- 试管婴儿经验
- 2023-09-06 09:05
卵黄囊对于胎儿发育来说是非常重要的一个组织形式,一般出现在4~12周,是孕囊内部组织,是胚胎早期形成血管和组织的部位,然后在孕八周以后,胎盘会逐渐形成,也就会逐渐代替卵黄囊的功能,从而随着胎儿的发育,卵黄囊也会逐渐萎缩,到孕12周后卵黄囊就会慢慢消失。
卵黄囊一般在孕12周左右逐渐消失
先怀孕,后付款-出生才是硬道理47岁1个卵泡一次成功经验分享不出国做三代-疫情下的试管新对策57岁供卵试管婴儿成功经验分享
助孕交流群
方法/步骤
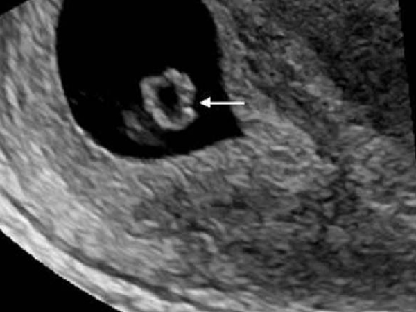
很多女性在孕初期做B超检查都会听到卵黄囊一词,卵黄囊其实就是孕囊的内部组织,一般在35天后被发现,卵黄囊其实是一种胚胎组织,对胚胎发育来说至关重要,如果没有卵黄囊,那么这个孕囊就相当于是一个空壳,有很大的几率会发现停孕。
卵黄囊是孕囊的内部组织形式
卵黄囊对胎儿发育来说虽然非常重要,是作为判断孕囊是否正常的一个标准,但是卵黄囊一般是不会一直存在的,卵黄囊出现的时间在怀孕4~12周的时候,孕4周的时候卵黄囊会逐渐生成,直到孕5周被检查发现,然后到孕8周后逐渐被吸收,到孕12周后逐渐消失。
卵黄囊之所以会消失其实是因为其独特的组织功能,卵黄囊的壁是由胚外内胚层和胚外中胚层构成,胚外中胚层在怀孕4到5周便形成许多血岛,是胚胎最早形成血管和血细胞的部位,是胚胎最早的造血场所,同时也有着新陈代谢、免疫和营养的作用。
卵黄囊是胚胎早期的造血场所
但是随着怀孕时间的增加,胎盘会逐渐发育,当胎盘功能发育成熟就会逐渐代替卵黄囊的功能,从而卵黄囊就会逐渐的萎缩,因此直到孕12周后卵黄囊就会慢慢消失。但是如果卵黄囊迟迟不消失的话就需要引起重视。
Tips:
因为按照正常的发育进度来看,卵黄囊消失是正常现象,但是如果一直不消失的话有可能会持续以往的作用,也有可能不利于胎儿发育,建议持续关注,如果对胎儿没有任何影响,或许会一直伴随到分娩。



发表评论