详解双胞胎卵黄囊出现时间,超过孕8周仍不可见一定不正常
- 试管婴儿经验
- 2023-09-06 09:28
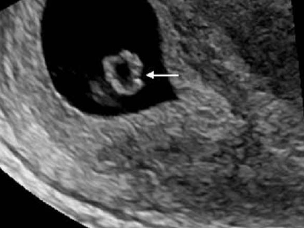
卵黄囊是位于孕囊内部的胚胎组织形式,会随着胚胎的发育逐渐出现,然后又随着胚胎的发育逐渐变小,直至被吸收消失。而卵黄囊出现的时间一般是在4周左右,但是做B超被发现的时间一般是5周以后,而如果在孕八周时做B超还没有发现卵黄囊,那就说明胎儿发育异常可能是受孕失败,需要终止妊娠。
卵黄囊是孕囊内部的一个组织形式
先怀孕,后付款-出生才是硬道理47岁1个卵泡一次成功经验分享不出国做三代-疫情下的试管新对策57岁供卵试管婴儿成功经验分享
助孕交流群
方法/步骤
卵黄囊是早期孕囊的标志,是孕囊内部的重要组织形式,没有卵黄囊的孕囊就是一个空壳,无法正常发育成胎儿,因此卵黄囊也是用于判断孕囊是否正常的一个标准。而卵黄囊出现的时间一般是4~12周,但是通常在孕4周是检查不出来的,一般是5~8周才会被发现。
卵黄囊的出现时间是孕4周以后
卵黄囊的出现时间是4周以后,根据卵黄囊大小是怀孕时间对照表可知,这时候的卵黄囊刚刚出现,体积较小,但是后期会随着胎儿的发育逐渐增大,而卵黄囊被发现的时间通常是5~8周的时候。
这是因为卵黄囊的检查时间一般是35天左右,但是如果孕妈妈出现月经推迟的情况,那么卵黄囊的出现时间也会发生推迟,但是8周是最晚的出现时间。
卵黄囊的检查时间一般是35天左右
而之所以卵黄囊4周出现,但要5周才能检查出的原因是因为卵黄囊位于孕囊内部,是孕囊的内部的胚胎组织形式,要发现卵黄囊,就需要先发现孕囊,而孕囊可以被B超探查到的时间一般是孕4周以后,因此发现卵黄囊的时间一般是在孕5周以后。
Tips:
但是如果在孕8周还没有发现卵黄囊的话,就说明没有卵黄囊,孕囊是一个空壳,意味着受孕失败,需要终止妊娠。卵黄囊是胚胎于母体间重要的转运系统,是胚胎组织,在胎儿发育中,卵黄囊主要能够分化出各种器官和组织,因此如果没有卵黄囊,或者卵黄囊发育不正常的话,就会导致胚胎于母体的营养传输中断,或者胚胎无法正常发育,很有可能导致停孕。



发表评论