孕8周有卵黄囊没胎芽?迟迟不出现可能是这三种原因
- 试管婴儿经验
- 2023-09-06 10:23
卵黄囊是孕囊内部的组织形式,而在卵黄囊出现后,孕囊内还会相继出现胎心胎芽,只有这些全都出现胚胎才能继续发育,并发育成胎儿,但是一部分女性在卵黄囊出现后,却迟迟没有出现胎芽,而导致这种情况的原因主要有三点,分别是怀孕时间短、胚胎停育以及胚胎质量不佳。
卵黄囊和胎芽是相继出现的
先怀孕,后付款-出生才是硬道理47岁1个卵泡一次成功经验分享不出国做三代-疫情下的试管新对策57岁供卵试管婴儿成功经验分享
助孕交流群
方法/步骤
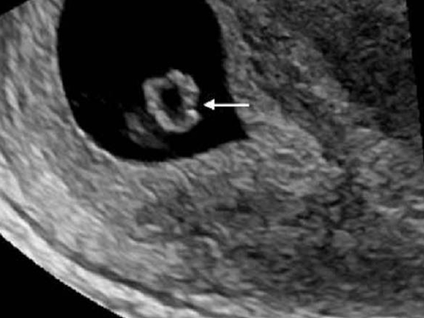
女性在怀孕后,受精卵发育成胚胎着床,会先形成孕囊,这时的孕囊是一个空壳,然后在这个空壳的内部会相继出现卵黄囊、胎心胎芽,但是如果在做B超时发现出现了卵黄囊,却没有出现胎芽的话,就意味着胚胎发育可能出现了问题,很有可能会停育。
迟迟没有胎芽说明胚胎发育异常
卵黄囊一般出现在孕4~5周的时候,是胚胎早期形成血管和组织的部位,同时有着供血、新陈代谢、免疫和营养的作用,而胎芽一般出现的时间是孕6~7周的时候,胎芽慢慢的会发育成胎心,这是胎儿形成的过程,因此卵黄囊和胎芽的发育对胎儿发育来说都是十分重要的。
而有一些孕妈妈在孕6~7周的时候发现有卵黄囊,但是胎芽却迟迟不出现,这时候就要引起重视,而造成这种有卵黄囊却迟迟没有胎芽的原因主要有三点,分别是:
1怀孕时间短,如果月经周期较长的话,胎芽出现的时间可能要晚一周,这种检查没有胎芽的情况可能是因为卵黄囊你刚刚出现,胎芽还未发育出来;2胚胎停育:孕囊没有正常发育,已经发生了停育因此不会再发育出胎芽;3胚胎质量不佳,如果胚胎的内细胞层细胞数目少,碎片率高的话很有可能无法正常发育出胎芽。
以上三点就是孕囊内有了卵黄囊却迟迟没有胎芽的主要原因,因此一般建议在孕6~7周b超没有看到胎芽的话,可以再等一周进行复查,在孕8周时检查如果有胎芽则发育为正常,如果这时候还没有胎芽,则考虑发育异常,需终止妊娠。


发表评论