取卵后盆腔积液4.9cm正常吗?超过这个范围均不能移植!
- 试管婴儿
- 2023-09-29 12:25
取卵后的女性出现盆腔积液很常见,一般来说可以自行消除,但也只是取卵后盆腔积液症状轻微的情况下,若是超出正常值范围较高,就会直接影响到胚胎移植,那么取卵后盆腔积液4.9还能移植吗?今天我们一起来了解下。
取卵后盆腔积液正常值范围介绍
取卵后盆腔积液4.9正常吗?
在取卵时,由于卵泡的破裂和促排卵药物的刺激,会在盆腔内形成积液,临床上将其称为盆腔积液,这是一种常见的妇科炎症,并且还伴有下腹痛、下腹涨痛以及小腹下坠等症状。
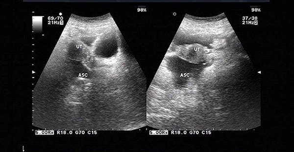
B超检查下的盆腔积液
盆腔积液分为生理性盆腔积液和病理性盆腔积液两种,而生理性盆腔积液常发生于女性的月经期或排卵期,而盆腔积液4.9已经属于病理性盆腔积液,若不及时治疗,会影响到胚胎移植。
取卵后盆腔积液的正常值范围
对于病理性盆腔积液,若是在10mm以内,那就属于在取卵后盆腔积液正常值范围内,不需要治疗,果超过10毫米,多是由盆腔炎或者是肿瘤性积液而引起的,则需要进行治疗。
盆腔积液检查报告单
对于取卵后盆腔积液不正常的女性来说,需要先诊断病因和病情,盆腔积液的位置多发生在子宫直肠陷凹等盆腔内位置较低处,妇科常用的有效检查手段是B超,可以较准确的判断积液的量,然后再治疗。
取卵后盆腔积液治疗方法如下:
一般治疗:解除患者的思想顾虑,增强治疗的信心,增加营养,锻炼身体,注意劳逸结合,提高机体抵抗力; 药物治疗:如因炎症引起,应积极抗感染治疗;如肿瘤引起,应采用化疗药物配合手术治疗; 手术治疗:肿块、输卵管积水或输卵管卵巢囊肿可行手术治疗;存在小的感染灶,反复炎症发作者亦宜行腹腔镜手术探查。对于盆腔积液小鱼10mm的女性来说,无需治疗也能恢复,而取卵后盆腔积液要多久才能恢复取决于每个女性的体质,少则三五天,多则半个月,只要积极调理,恢复得还算非常快的。
试管婴儿取卵后的症状
取卵是试管婴儿流程中重要的步骤,不过虽然取卵手术无创伤,但是并不代表取卵无风险,很多女性在取卵后都会出现各种各样的症状,以下整理了取卵后不良症状的解决方法,快来看看哪些对你有用吧!



发表评论