试管婴儿取卵别“怕痛”,做到这3点好孕更简单!
- 试管婴儿
- 2023-09-29 12:31
“取卵”是试管婴儿流程最为重要的一步,也是一众试管婴儿姐妹谈之色变、瑟瑟发抖的一个词儿,很多人认为试管婴儿取卵痛、过程很可怕,其实只有经历过的人才知道并非如此,在取卵环节做到这3点好孕还更简单!
做试管婴儿取卵时会很疼吗
试管婴儿取卵痛不痛?
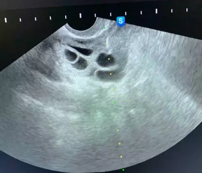
现在的取卵手术比较简单,就是在阴道超声的监护下,用一根细细长长的取卵针扎入卵泡中,通过负压吸引将卵子取出体外的技术。
而80年代试管婴儿技术刚刚起步的时候,可是得经过腹腔镜手术取卵呢,这么一比较,是不是觉得经阴道取卵亲和力强多了啊。话虽如此,好多女性还是对取卵手术心存芥蒂,归根结底就是“怕痛”。
关于取卵手术疼痛的话题一直是大家关注重点,其实,如果卵巢位置好,患者心理放松、对医生充分信任、再加上医生取卵技巧娴熟,那取卵过程会完全不痛或仅有轻微的痛感;反之,如果卵巢位置不好,在子宫后方,取卵针穿过子宫后才能穿刺到卵泡,那必定会有疼痛感的。
卵巢位置好取卵时仅轻微疼痛
像这种情况,穿刺针进去就是卵泡,还没来得及疼呢手术就结束了!
卵巢位置不好则取卵疼痛感强
而这种情况,取卵针要经过子宫,长途跋涉后才能刺入卵泡,那肯定疼,我给你取卵也会疼!
所以,对于取卵这件事,我觉得如果在手术前做好充分的心理建设,那会在很大程度上缓解大家的焦虑情绪,我是非常希望你们能顺利地度过试管婴儿的每个环节,如果连取卵都不怕了,那就没啥好怕的啦。
1、良好的心态
就像今天我听到一个取卵的病人和我们聊天时讲到的,“就把取卵当做一件刺激的事情来做好了,就当去游乐园坐过山车了”。这个比喻不一定非常恰当,但这种良好的心态还是很值得肯定的。
2、积极的配合
对于位置很好的卵泡而言相对简单,但对于一些位置不好,躲在子宫或者膀胱后面的卵泡而言,取卵一定是有疼痛感的,这个时候,你的配合就会增加获卵的机会,增大妊娠的几率,如果因为怕疼而不配合手术,那损失的可不仅仅是金钱和时间,还有宝贵的妊娠机会。
3、未来的改进
客观条件限制导致现在没有把静脉麻醉取卵作为一个常规选项,希望不久的将来能根据患者的卵泡发育情况、对于疼痛的耐受程度,结合你的意愿做几个选择:
自然周期单卵泡发育者不打麻醉; 卵巢正常位置、卵泡数量适中者局部麻醉; 卵巢位置不好、卵泡数量多或者对于疼痛极度敏感者可考虑静脉麻醉。当然,在静脉麻醉成为常规选项之前,还是得做好自己的心理建设,用积极的心态去迎接取卵手术,真的只有一点点痛而已,别怕。
取卵时,大多数是在静脉麻醉状态下进行,所以,不用太过担心是否会痛苦。做试管婴儿,就是在取卵时,稍微有一点点疼痛,不过,一般人能承受的那种痛。不必太过担心。



发表评论