取卵后胚胎有4个等级,ABCD您的属于哪个级别?
- 试管婴儿
- 2023-10-10 12:39
对于做试管婴儿的女性来说,胚胎的质量至关重要,胚胎等级越高,移植后成功着床的几率就越大,往往往往在取卵之后,医生会告诉你胚胎是什么等级,那么你是否真的了解胚胎等级划分的具体含义和意义呢?
取卵后胚胎等级划分规则介绍
取卵后的胚胎怎么评级?
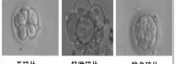
试管婴儿取卵手术后,会对精子和卵子进行培育,48小时后受精卵会分裂成4-6个细胞,这个时候医生会根据胚胎的发育情况进入评级。一般来说评分的标准是按照细胞卵的大小均匀程度、透明度如何、是否有颗粒、碎片的占有率来划分胚胎。
试管取卵后胚胎等级评判规则图
如果细胞的大小均匀,透明度高,没有颗粒,碎片在0-5%,这一类胚胎会被定义为最优级别的一级胚胎,是最适合移植的。试管婴儿胚胎有四级之分,试管婴儿胚胎的等级其实是按照胚胎质量的好坏来分的。
取卵后胚胎等级划分一览
通常将试管婴儿的胚胎分为四级,即A级、B级、C级和D级,它是影响试管婴儿成功率的主要因素之一,因此大家有必要了解下胚胎是怎么分级的。
A级
较为优秀的胚胎
这些胚胎卵裂球折光正常、大小均匀,外形规整,透明带完整,碎片量少于10%或者没有,是试管婴儿术中最理想的胚胎。胚胎细胞团呈均匀对称的球形,单个卵裂球(或细胞)的大小、颜色、密度一致,胚胎的发育阶段与预期的发育阶段一致。B级
良好的胚胎
这类受精卵的卵裂球折光性一般,大小不太均匀,碎片20%。试管婴儿胚胎细抱团的大小和形状以及单个细胞的颜色和密度存在一定的不规则。这类胚胎是做试管婴儿中最常见的胚胎。C级
一般的胚胎
胚胎细胞团的大小和形状以及单个细胞的颜色和密度存在严重的不规则。至少有25%的细胞结构是完好的、具有活性的胚胎细胞团,使用这类胚胎会是试管婴儿的成功率降低,一般医生会事前告知患者夫妻。D级
不能使用的胚胎
标志着胚胎死亡或者退化,退化的胚胎卵母细胞或细胞胚胎,没有活力,这类胚胎没有任何移植的必要,若是出现这种胚胎,可以直接抛弃。影响胚胎等级(质量)的因素:试管婴儿胚胎质量可能受到很多因素的影响,例如促排卵药物、卵子质量、精子质量、授精时机、实验室水平等等,不过最重要的影响因素应该是精子和卵子的质量。


发表评论