当前位置:首页 > 内容中心 > 正文

优势卵泡的大小标准释疑(图文),试管婴儿知识索引学习

优势卵泡的判断主要是基于发育进程、卵泡大小而定,在试管婴儿前期准备中优势卵泡的监测需结合性激素六项可对卵泡的质量作出相对准确的判断,也是试管婴儿医生判断是否符合进周的标准之一。

优势卵泡

对于优势卵泡,人们总是过多的关注其大小、尺寸,而忽略卵泡发育进程的监测,事实上卵泡监测才是评估卵泡质量的关键。

优势卵泡是什么

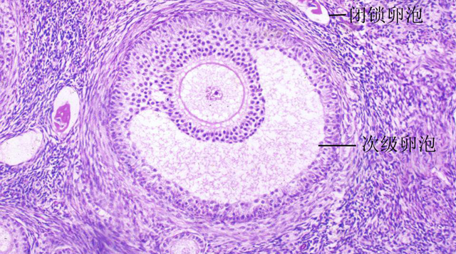
优势卵泡就是指卵泡中个头最大的那个卵泡,根据卵泡发育生长过程,卵泡可分为三个阶段,如:原始卵泡、生长卵泡、成熟卵泡。

原始卵泡是指一个初级卵母细胞以及其周边的卵泡细胞,这个初级卵母细胞在通过发育生长,就会成为成熟卵泡,一般女性在正常月经周期内、正常的排卵都只会出现一个优势卵泡,只有一个卵子会排出。

优势卵泡是在B超监测患者排卵的时候最常用的一个术语,所谓优势卵泡就是在排卵过程中发育最好的,首先这个卵泡的体积比其他卵泡的体积要大,卵泡膜即将破裂,即将排卵。

优势卵泡的标准

所谓优势卵泡是指在B超上看到卵泡直径超过10mm,而没有达到18mm的卵泡。如果月经周期在30天左右,在月经的第10天起卵泡直径长到10mm以上,可以称为优势卵泡。

优势卵泡的标准图

只有成熟卵泡排卵后,那么才有受精的能力的,一般正常成熟卵泡直径18-22mm左右的,如果直径达不到18mm,那么属于不成熟卵泡的。所以彩超上看到优势卵泡后,需要继续监测卵泡的发育情况的。

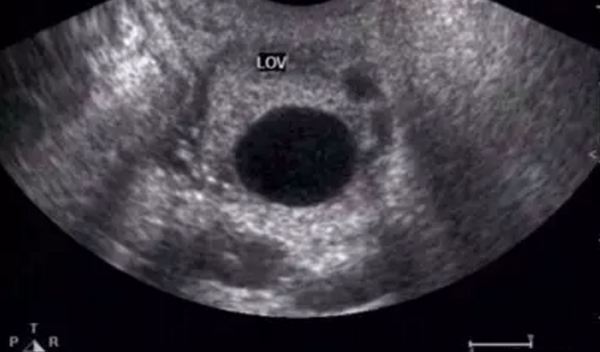
正常成熟的优势卵泡的声像图

①卵泡最大直径达20mm,优势卵泡最大直径范围为17~24mm,体积2.5~8.5mm⊃3;。径小于17mm者为非成熟卵泡。

优势卵泡的声像图

②卵泡外形饱满呈圆形或椭圆形,内壁薄而清晰,或可见内壁卵丘所形成的一金字塔形的高回声,多在排卵前24~30小时易于显示。亦可见优势卵泡周围有一低回声晕(多由排卵前卵泡膜组织水肿所致)。

③卵泡位置移向卵巢表面,且一侧无卵巢组织覆盖,并向外突出。

自然周期中优势卵泡的生长速度大约为(1~2)mm/d,近排卵前的卵泡最大生长速度可达(2~3)mm/d,卵泡直径达18~28mm时成为成熟卵泡。

B超下合理监测卵泡

对于月经周期28-30天的女性,优势卵泡从月经周期的第6-8天开始发育,您可以在月经周期第11-12天初次监测之后根据优势卵泡的大小来决定下一次的监测时间,通常每个周期B超监测的时间为3-4次,具体时间为:

1、最大的卵泡直径10mm时,下次监测时间间隔为6-7天;

2、优势卵泡直径10-12mm,下次监测的时间间隔为3-4天;

3、优势卵泡直径13-15mm,下次监测的时间间隔为2-3天;

4、当优势卵泡直径16mm以上时,下次监测时间间隔为1-2天。

自然周期基础体温上升后,B超监测卵泡消失或塌陷,表明已经排卵。在卵泡直径18-20mm时,表明卵泡已经成熟。如果到周期的第20-25天左右,仍然没有观察到优势卵泡,可以视为无排卵周期,需咨询医生明确进一步的处理。

卵泡数量与成功率的预估

为方便姐妹客观认知相应的取卵效果、妊娠结局,特整理了不同基础卵泡数量的对应的成功率,以及促排卵方案、生育方案的选择,避免被不良中介虚假宣传所诱导。卵泡质量相对于数量更为重要,卵泡少则取卵效果为首要原则,恰当的促排卵方案、充分的前期准备可有效保障卵泡的受精、胚胎形成的结果,一切以临床医生的建议为准。

1~56~1011~1516~20

1个卵泡6个卵泡11个卵泡16个卵泡

2个卵泡7个卵泡12个卵泡17个卵泡

3个卵泡8个卵泡13个卵泡18个卵泡

4个卵泡9个卵泡14个卵泡19个卵泡

5个卵泡10个卵泡15个卵泡20个卵泡

若生理情况特殊或既往多次失败,可添加生育顾问,转呈生殖中心主任医师评估后再作考量,切勿听信服务机构任何形式的承诺!

关于卵子的知识体系

从 0 到 1 科学认知卵泡,理解卵子数量、质量在怀孕中的作用,不同的卵泡相关问题正确的解决方案和科学建议。

发表评论

全部评论

微信分享

微信分享二维码

扫描二维码分享到微信或朋友圈

链接已复制
星辰影视-2025热门免费影视短剧平台熊猫影视-2025热门免费影视短剧平台番茄影视-2025热门免费影视短剧平台星光电影-2025热门免费影视短剧平台蜂鸟影院-2025热门免费影视短剧平台熊猫影视 - 全网高清免费影片聚合平台萝卜影院-2025热门电影电视剧免费在线播放-全站无广告高速播放下载樱花影院-2025热门免费影视短剧平台琪琪影视-2025热门免费影视短剧平台火影电影网-2025热门免费影视短剧平台悟空电影-2025热门免费影视短剧平台西瓜影院-2025热门免费影视短剧平台星空电影网-2025热门免费影视短剧平台好看电影网-2025热门免费影视短剧平台无忧影视网_高清影视在线观看分享平台_最新最全的免费影视短剧大全年钻网超清视界 - 全网高清免费短剧聚合平台极影公社-2025热门电影电视剧免费在线播放至尊影院-最新热门短剧免费电影网站_高清影视无弹窗极速播放星光电影-2025热门免费影视短剧平台河马影视-最新热门火爆的免费影视网站_高清影视夸克迅雷网盘下载叮当影视网-2025热门高清免费影视短剧分享平台70影视网 - 最新电影、电视剧、短剧、免费在线观看麻花影视网 - 高清免费聚合电影网西瓜影院-最新热门电影电视剧免费在线播放开心追剧网2048影视资源论坛-2048P.Com青青影视网-2025热门高清免费影视短剧分享平台八哥电影网_最新vip电影大全_热播电视剧_全网优质影视免费在线观看_老牌的免费在线影院_www.886958.com人人看电影-热播电视剧_2025年最新电影_人人影院高清在线免费观看天天影视网-高清免费电影、电视剧、短剧在线观看星辰影视-最新热门无广告的免费电影网站_高清影视无弹窗极速播放电影天堂爱看影院追剧达人U系列网盘资源橙子影视网天堂影视网天堂影视神马影院网大众影视网星辰影视网