美国第三代试管婴儿的认知误区有哪些?
- 美国试管婴儿
- 2024-04-07 09:41
美国3代试管婴儿发展至今经过了非常多的坎坷,面对人们的误解和排斥,美国试管专家依旧坚定信念,研发试管婴儿技术。但即便如此,依旧有不少人对美国3代试管婴儿存在一定的认知误区。
误区一:囊胚移植稍有不慎会流产
国内的很多患者,经历了多次试管周期,依旧没能成功怀孕,因为出现了囊胚不能着床和胎停、流产等现象,造成试管助孕以失败告终,因此很多人会好奇是不是囊胚移植后稍有不慎也会流产。
美国试管专家表示,囊胚移植后的着床能力要远高于自然受孕状态下的受精卵。自然受孕状态下,精子和卵子在输卵管内自然结合,形成受精卵,然后经过输卵管运送到子宫中着床、发育。
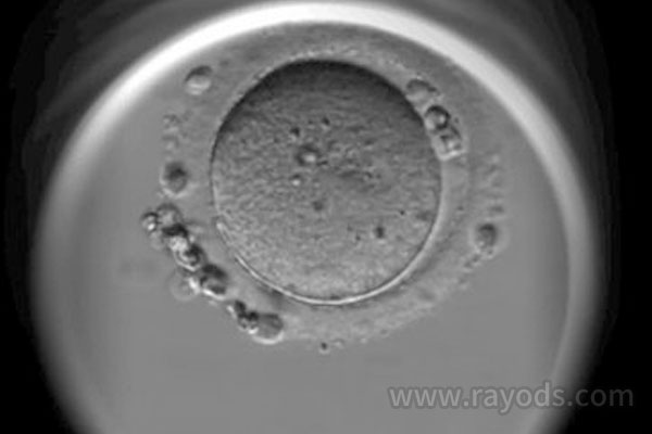
美国三代试管是将卵子和精子取出体外后,进行一对一受精,然后将受精卵放置在特殊培养液中培育5天,形成拥有上百细胞的囊胚,再通过全基因筛检,把最健康的囊胚移植到女性子宫中。
在美国试管周期中,囊胚的质量和生育条件都是优于自然怀孕的,而且囊胚的形态、结构稳定、活性强,形成囊胚的细胞数量比较多,着床面积也相对较大,所以比自然受孕更容易达到怀孕的目的。
误区二:第三方植入会改变宝宝基因
很多客户会有疑问,如果借助第三方的子宫生育宝宝,那么是由别人来完成分娩过程,那会不会对宝宝的基因造成改变呢?
并不会,因为宝宝是由父母的精子和卵子结合成的,宝宝全部的DNA也是来自精子和卵子的细胞核,虽然胚胎是植入到第三方的子宫中完成生长发育,但第三方只起到提供营养的角色,仅此而已。
因此,在美国试管婴儿助孕周期中患者可以在合法选择、放心接受第三方生殖辅助给予的帮助。



发表评论