盘点生育唐氏综合征儿童的7类高发人群,你是其中之一吗?
- 生殖科普
- 2024-11-10 11:04
我国是出生缺陷高发国家,全国每年有近100万出生缺陷儿发生,相当于每30秒钟,就有一个缺陷儿出生。唐氏综合征就是其中常见的一种疾病,随着大家对于优生优育理念的贯彻,在孕期进行相关的唐氏筛查是有效预防唐氏儿出生的手段。那么生育唐氏综合征儿童的高发人群有哪些呢?一起看看吧。
生育唐氏综合征儿童的高发人群
1、有病毒感染史
妊娠前后,孕妇有病毒感染史,如流感、风疹等。有研究认为病原微生物感染所致的发热会给母体造成伤害,导致胎儿出生缺陷的发生。孕早期的感染及用药是导致唐氏综合征不可忽略的重要因素。
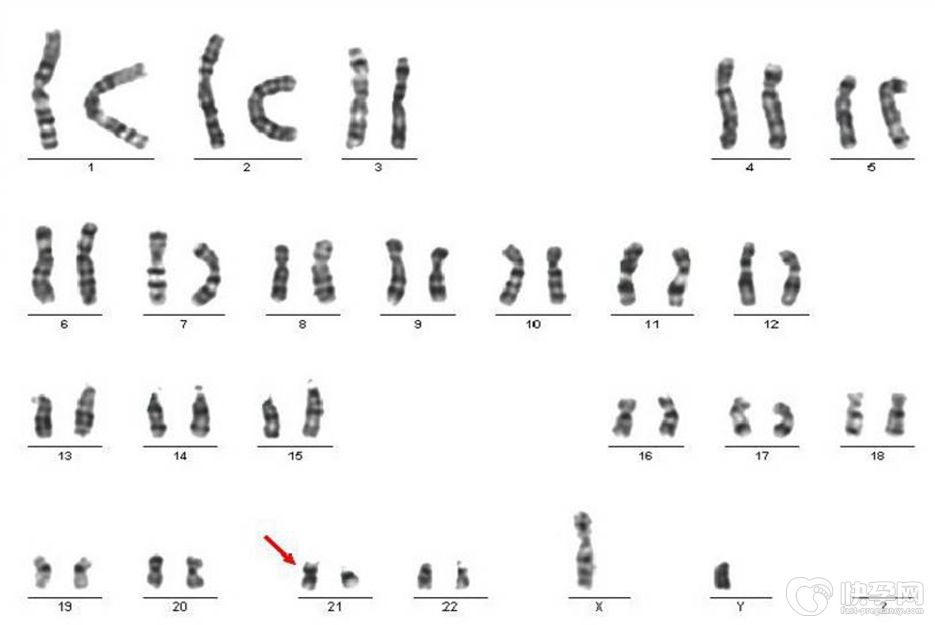
2、染色体异常
受孕时,夫妻一方染色体异常。因为唐氏综合征也称为21-三体综合征,是由染色体异常(多了一条21号染色体)而导致的疾病。60%患儿在胎内早期即流产,存活者有明显的智能落后、特殊面容、生长发育障碍和多发畸形。
3、年龄大于35岁
母亲年龄越大,处于分裂前期的初级卵母细胞在母体内停留的时间越长,产生减数分裂不分离的风险越大。此外,研究中还发现,年龄>35岁的孕妇将不能通过外周血检查进行无创的唐氏产前筛查,只能直接通过羊水穿刺或脐带血检查进行产前诊断,因此,很多孕妇拒绝有创的产前诊断。这也增加了高龄产妇生育出唐氏综合征患儿的几率。
4、孕前和孕早期服用药物
妊娠前后,孕妇服用致畸药物,如四环素等。治疗感染所用的药物也可能会在胚胎形成的特定时期作用于某些染色体上,导致胎儿出生缺陷的发生。
5、受环境影响
夫妻一方长期在放射性荧幕下工作或污染环境下工作。有研究表明,孕妇美甲、居住周围环境污染、孕前家庭装修或购买新家具新车、接触农药都是唐氏综合征发生的危险因素。
6、有过异常孕产史
曾经有过异常孩子的分娩史,比如生了一个脑积水的孩子,或者有不明原因的胚胎停止发育或者胎停育。
7、钩形虫感染
夫妻一方长期饲养宠物者。
如何预防唐氏综合征儿童的出生?
1、遗传咨询
孕妇年龄愈大,风险率愈高。标准型唐氏综合征的再发风险率为1%。易位型患儿的双亲应进行核型分析,以便发现平衡易位携带者:如母方为D/G易位,则每一胎都有10%的风险率;如父方为D/G易位,则风险率为4%。绝大多数G/G易位病例均为散发,父母亲核型大多正常,但亦有发现21/21易位携带者,其下一代100%罹患本病。
2、产前诊断
是防止唐氏综合征患儿出生的有效措施。已有该病生育史的夫妇再次生育时应作产前诊断,即染色体核型分析,取样包括孕中期羊膜腔穿刺作羊水细胞、孕中期胚胎绒毛细胞和孕中期脐带血淋巴细胞等分析。产前筛查血清标志物HCG、AFP测定有一定临床意义,因为它能够减少羊膜穿刺进行产前诊断的盲目性,提示高危孕妇群的存在,使这些孕妇得以作进一步的产前检查和咨询,最大限度地防止唐氏综合征患儿的出生。
3、定期产检
大部分的唐氏宝宝是可以通过产检筛查出来的,比如怀孕11-13周+6的NT检查、怀孕16-18周的唐氏筛查等。如果NT值有异常或者唐氏筛查高风险,最好做进一步的检查,如无创DNA或者羊水穿刺,羊水穿刺虽然有一定的危险性,但是准确率在99%以上。
总结:生育唐氏综合征儿童的高发人群主要集中在以上的7类人群中,对于唐氏综合征目前并没有任何手段可以治疗。所以要记住,防大于治,在孕前和孕期都要注意,避免有害物质对胎儿的侵害,并且按时体检密切关注胎儿的发育情况。


发表评论