广西壮族自治区妇幼保健院二代试管婴儿日记,促排开始啦
- 试管婴儿
- 2025-02-15 10:59
79年阿姨,二代试管婴儿开始促排啦。跟老公,结婚15年。今年42岁了,想要个二胎,但因为年龄过大,所以我们决定做二代试管婴儿。在做二代试管婴儿之前,我做了6次促排都没有好的结果。
其实原计划是上半年过完年就去广西壮族自治区妇幼保健院做二代试管婴儿的。我还是担心二代试管婴儿会失败,因为我也知道AMH随着年纪也会下降,并且不可逆。去年我测的时候AMH只有2.2 。
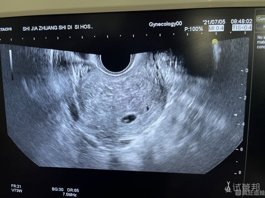
2021年4月31日,这是我月经第二天。我去医院打了降调针。2021年6月5日,我加上建档,并准备打促排针。医生开的是果纳芬笔(重组人促卵泡激)(450iu)*2支,这个需要皮下注射,连续打6天。除了第一针,之后我都是在大家自己打的。我觉得还是蛮好下手的,一点都不疼。
2021年6月11日。我去医院复查B超+激素,医生又开了2天针。2021年6月13日,再次去复查B超+激素,这次医生开了1支(乐宝得)尿促性素针(75iu)和2支绒促性素针(5000iu)。6月16日,一大早我们去医院做了取卵和取精。
在取卵的时候,我才知道原来是默认不麻的,如果我们要全麻要提前和医生说,并且H还得再检查几个项目。我的大约有10个卵子长的不错,医生说取卵需要35分钟左右可以耐受。我最后选了不麻吧,其实回家后想想还是有点怕怕。
现在我在等待移植中,希望迎来好孕吧!加油!


发表评论