当前位置:首页 > 内容中心 > 正文

唐氏综合征

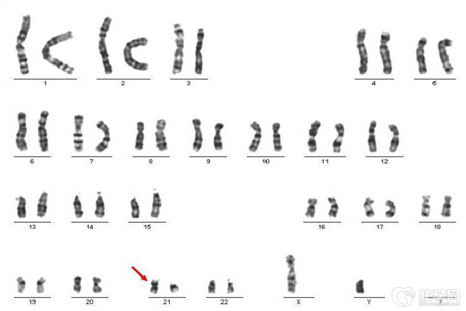
唐氏综合征即21-三体综合征,简单来说就是染色体异常,出现了三条21号染色体。女性如果怀上唐氏综合征的孩子,60%会在胎内早期即流产,而存活下来的出生后有明显的智能落后、特殊面容、生长发育障碍和多发畸形。因此夫妻想要生育一个健康的孩子需要注意两点,第一个是做好遗传咨询和孕期检查,第二个就是做第三代试管婴儿剔除异常胚胎,选择健康的胚胎进行移植,从源头上减少唐氏综合征的发生。

发表评论

全部评论

微信分享

微信分享二维码

扫描二维码分享到微信或朋友圈

链接已复制
星辰影视-2025热门免费影视短剧平台熊猫影视-2025热门免费影视短剧平台番茄影视-2025热门免费影视短剧平台星光电影-2025热门免费影视短剧平台蜂鸟影院-2025热门免费影视短剧平台熊猫影视 - 全网高清免费影片聚合平台萝卜影院-2025热门电影电视剧免费在线播放-全站无广告高速播放下载樱花影院-2025热门免费影视短剧平台琪琪影视-2025热门免费影视短剧平台火影电影网-2025热门免费影视短剧平台悟空电影-2025热门免费影视短剧平台西瓜影院-2025热门免费影视短剧平台星空电影网-2025热门免费影视短剧平台好看电影网-2025热门免费影视短剧平台无忧影视网_高清影视在线观看分享平台_最新最全的免费影视短剧大全年钻网超清视界 - 全网高清免费短剧聚合平台极影公社-2025热门电影电视剧免费在线播放至尊影院-最新热门短剧免费电影网站_高清影视无弹窗极速播放星光电影-2025热门免费影视短剧平台河马影视-最新热门火爆的免费影视网站_高清影视夸克迅雷网盘下载叮当影视网-2025热门高清免费影视短剧分享平台70影视网 - 最新电影、电视剧、短剧、免费在线观看麻花影视网 - 高清免费聚合电影网西瓜影院-最新热门电影电视剧免费在线播放开心追剧网2048影视资源论坛-2048P.Com青青影视网-2025热门高清免费影视短剧分享平台八哥电影网_最新vip电影大全_热播电视剧_全网优质影视免费在线观看_老牌的免费在线影院_www.886958.com人人看电影-热播电视剧_2025年最新电影_人人影院高清在线免费观看天天影视网-高清免费电影、电视剧、短剧在线观看星辰影视-最新热门无广告的免费电影网站_高清影视无弹窗极速播放电影天堂爱看影院追剧达人U系列网盘资源橙子影视网天堂影视网天堂影视神马影院网大众影视网星辰影视网