只做B超检查有没有可能误诊为无子宫呢?
- 试管婴儿
- 2025-03-19 09:26
我一个朋友的女儿今年刚刚17岁,最近这个孩子被检查出来有先天性无子宫的情况,朋友现在因为孩子的病情特别苦恼,想了解一下,只做b超会不会误诊为无子宫呢?
是有可能的,这与医生的经验水平、患者病情的复杂程度以及不同疾病的相似表现不易区分等因素都有关系。
b超结果也有误诊的可能
因为刚进入青春期的女性,子宫还没有发育好,只是一条浅浅的薄膜,只做b超的话是有可能会显示无子宫,从而出现误诊的情况。
我之前一直觉得自己好好的,但是去做身体检查的时候,医生说我是无子宫,吓到我了,我不相信又做了一遍,又有了,b超也会误诊吗?是什么原因导致的呢?
b超出现误诊主要是要看医院的水平和医生的经验。如果医院的级别比较低,医生的经验比较少,这种情况,b超的误诊率就会比较高。但如果是在一个比较好的医院,医生的经验很丰富的话,b超的误诊率是不高的。
但是不论是什么级别的医院,经验多丰富的医生,都会有误诊的可能性,只是误诊率高低的问题,没有谁能够保证b超是百分之百的准确。
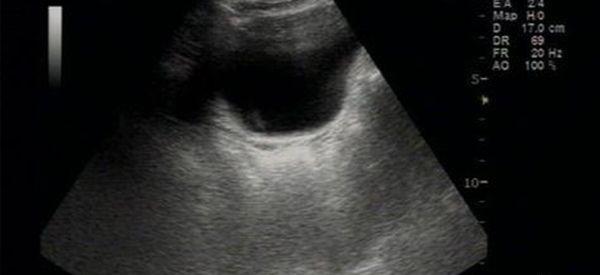
b超影像显示无子宫
除此之外,因为b超也有局限性,穿透力比较弱,在反射法中发生多次重复反射以及旁辨干扰出现假反射现象,因此有时也会造成误诊如果感觉b超结果和自己预想的不一样,可以换一家医院或换一位医生再检查一遍,来确认结果的准确性。
我和老公结婚两年了,准备要孩子,去做了身体检查,做了b超,结果却说我是先天性无子宫,可是我身体一直都挺好的啊,想问一下只做了b超就能确定是无子宫吗?还要做什么检查呢?
先天性无子宫的诊断,一般是依靠B超检查来进行诊断的,通过B超检查,了解盆腔内是否有子宫的声像,如果在B超检查过程中发现盆腔内没有子宫回声,这种情况下就考虑为先天性无子宫,如果担心存在误诊的情况,也可以进一步考虑进行盆腔CT或者盆腔磁共振的检查。


发表评论