-
四个淋病危害 生活中预防淋病需要做好四点
性病是以性生活为重要传播途径的一组病症。女性和男性内脏器官患霉毒、淋病、软下疳、生殖器疱疹、性病性淋巴肉芽肿等病症的统称。得了性病很容易让人联 想到不干净的事情..
2023-05-18 09:51 -
淋病患者相关注意事项
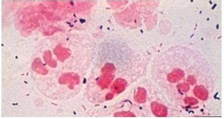
淋病是淋病奈瑟菌(统称淋球菌)导致的以泌尿生殖系统化脓性感柒为主要表现为性传播疾病。其发病率在中国性传播疾病位居第二位。淋球菌为革兰阴性双球菌,离开人体不易生存..
2023-05-18 09:59 -
淋病的并发症有哪些?要从青少年开始预防淋病
一般淋病的潜伏期在二到十天左右,但是如果自身体质比较弱,而且平时不节制性生活以及嗜酒者的潜伏期会短很多。使用过抗生素后潜伏期会适当的延长一些。淋病的潜伏期过后就..
2023-07-05 09:51 -
感染淋病后怎么办?
相信很多人对淋病也不陌生,常发生在一些平时私人生活混乱的人身上。淋病多是因为不卫生的性行为造成的,具体是因为淋病双球菌导致的,淋病的潜伏期一般两天至一周时间左右..
2023-07-05 10:14 -
淋病有哪些治疗方式
淋病的特点有什么?淋病是人们日常生活普遍存在的性传染疾病,于年青男孩和女孩较为常见,此病的主要传播方式是性传播,因而要情侣要搞好防范措施。另外,此病非常难以清除..
2023-07-12 09:58 -
她真的患有淋病吗
2003年的春节刚过,全国人民仍沉浸在欢乐之中,但有两个人的心情却与佳节的欢乐气氛格格不入。一个叫伍沁(化名),年前不久被诊断为淋病。另一个则是为她诊断的妇产科..
2023-07-30 11:58 -
男性患淋病淋球菌阳性可以做试管婴儿吗?答案果然不出所料!
众所周知,无论是自然怀孕还是试管婴儿,夫妻双方的共同努力都是不可或缺的。虽然试管婴儿的技术越来越先进,但其成功率受到很多因素的影响。因此如果打算做试管婴儿,一定..
2024-04-18 09:57