-
一文详解医学上的小满月和大满月,各是多少天不要分不清
新生儿的到来不仅仅给全家人带来了希望,同时也让女性承受了不少的苦难。宝宝出生之后是非常脆弱的,只有等到满月之后身体才会逐渐强壮。在医学上新生儿有小满月和大满月的..
2022-11-15 12:00 -
精子活力和正常形态别傻傻分不清,哪个更重要你要知道
精液常规检查是评估男性生育能力的重要手段,一般来说,精液检查会对男性的精液量、气味、颜色、液化时间以及精液中精子的数量、活动力、形态等有一定的了解。在检查结果中..
2023-03-26 09:43 -
取卵后腹水和盆腔积液别分不清,教你从症状了解两者区别
对于一些卵巢功能本身就受不了刺激的试管患者来说,促排卵和取卵的过程很容易对卵巢造成过度刺激,引起卵巢过度刺激综合征,从而出现积液腹水的现象。很多多不太明白取卵后..
2023-04-28 09:13 -
比大姨妈更早知道怀孕 真孕假孕别再傻傻分不清
比大姨妈更早知道怀孕 月经周期,女性特殊的生理反应,如果哪一个月月经没有按时到来,你是不是怀疑自己怀孕了。月经停止不来,是早孕最突出的表现症状,对于月经有规律的M..
2023-07-26 08:56 -
据说什么时候是排卵期这个问题 还有很多女人傻傻分不清
身为女人,也许你知道安全期、月经期、排卵期、危险期这几个特殊时期对于一个成年女性来说有多重要,但就是不知道这几个不同时期究竟是在每个月的哪一天,又是怎么计算出来..
2023-08-05 07:05 -
女人怀孕和例假的7大区别 献给傻傻分不清的你
有过怀孕经验的女性朋友都知道,怀孕的早期症状(除了例假之外),几乎很多都与来月经相似。比如:腰酸背痛、白带增多、乳房胀痛、无精打彩,体温升高,这些都是来月经之前..
2023-08-07 07:39 -
孕中期半夜醒分不清羊水还是尿?想自己判断可以从颜色入手
孕中晚期漏羊水也是比较容易出现的问题,特别是孕中期的晚上,很多孕妇区分不开漏羊水还是漏尿。其实自己想要判断是羊水还是尿液,可以从液体的颜色入手观察,一般来说羊水..
2023-08-09 09:05 -
分不清怀孕和例假推迟?学会看这六大区别分辨起来真简单
女性怀孕后一个明显的症状就是月经暂停,但是如果月经不规律就很难区分自己究竟是怀孕还是月经推迟。月经推迟和怀孕早期的症状是很容易区分的,怀孕的女性更容易出现疲倦、..
2023-08-23 10:07 -
hcg值多少是怀孕 有人竟和我一样傻傻分不清
怀孕以后的准妈妈,身体里会分泌一种叫孕激素的特殊物质,所以,孕妈妈身体会发生一些改变,不仅仅是会出现各种妊娠反应,连身体里其它的物质也会随之而改变。hcg值就是其..
2023-10-02 10:22 -
人工授精or二代试管婴儿傻傻分不清?看生殖医生给你分析两者区别
现在国内的不孕不育人数是呈上升曲线的,在面临不孕不育的难题时,我们最常见的辅助生殖技术的就是人工授精技术和试管婴儿技术,两项技术已经具有很多年的发展,且都是已经..
2023-10-02 18:19 -
异性间分不清友情爱情,爱情到底是什么样子
不是说跟异性关系亲密就一定是对对方有好感,对于异性我们也是可以产生友情的。很多人在跟异性相处的过程当中,会很难区分自己的情感,不知道自己对于对方到底只是纯粹的友..
2024-01-08 11:51 -
人工授精和试管婴儿的4个区别,你还傻傻分不清吗
导读:很多不孕不育家庭都知道,辅助生殖包括了人工授精和试管婴儿,但是很多求医的患者家庭并不是非常清楚这两者的区别和关系,更不用说自己更适用哪儿种情况了,今天就为..
2024-01-23 09:39 -
双杠一深一浅分不清怀没怀?60秒教会你验孕棒怎么看!
双杠一深一浅分不清怀没怀?60秒教会你验孕棒怎么看!验孕棒是日常生活中比较常用的一种检测是否怀孕的工具,因为其使用起来非常的便捷而且准确性也比较高,能达到90%以上..
2024-03-07 09:00 -
多囊卵巢早衰和卵巢早衰的症状分不清?区别的方式有一下几点
女性多囊卵巢和卵巢早衰的症状分不清?区别的方式有一下几点:卵巢早衰的症状:1.卵巢衰老会伴随一系列身体内激素水平的变化,尤其是体内的雌激素、孕激素、卵泡刺激素和黄..
2024-09-29 09:00 -
上海集爱和红房子别分不清!试管婴儿成功率、费用
提到上海集爱医院不免会想到红房子医院,很多人到现在还对于红房子和集爱医院傻傻分不清,其实两家虽然都能做试管婴儿但大不一样,这里主要来看看上海集爱医院试管婴儿成功..
2024-10-13 09:19 -
胎停育与流产傻傻分不清,3种情况助你快速了解。
总有些初次尝试备孕的女性,对于胎停育与流产傻傻分不清,对于胎停育和流产的区别可谓是一概不知,流产并不需要与胎停育清宫一样,所以通常也就不用担心胎停育清宫疼吗以及..
2024-12-03 09:35 -
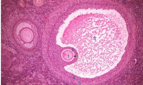
卵母细胞、卵子、卵泡区别大,备孕别再傻傻分不清
临床上根据卵母细胞不同发育时期和结构,将其分类为卵原细胞、初级卵母细胞、次级卵母细胞、卵子,对于很多打算要宝宝,成为备孕的妈妈来说,详细了解它们之间的区别是很有..
2025-01-04 09:28 -
分不清阴超还是腹超?这份nt检查流程送给你
nt检查是一项非常重要的孕前期检查,虽然整体的流程较为简单,但是孕妈们千万不可掉以轻心,知己知彼才能百战百胜,今天就带你了解nt检查的具体流程。nt检查流程并不复杂nt..
2025-03-19 09:32 -
有关真童子命克父母的说法 真真假假分不清 到底是如何
很多人因为童子命人的运势极其的不好,无论是自己的生活还是工作,或者婚姻感情生活都是不顺利的,甚至是一份工作都没有能够稳定的发展下去。民间甚至有真童子命克父母的说..
2025-12-07 01:19 -
人工授精和试管婴儿有什么区别?还在傻傻分不清?
很多不孕不育家庭都知道,辅助生殖包括了人工授精和试管婴儿,但是很多求医的患者家庭并不是非常清楚这两者的区别和关系,更不用说自己更适用哪儿种情况了,今天就为大家详..
2026-01-26 09:02