-
秋季高发病毒来袭,2岁以下宝宝最易中招!预防要趁早!
立秋快一个月了,没有了炎热毒辣的太阳,就可以大大方方舒舒服服地出去玩耍啦!尤其正值金秋九月,到学龄的人类幼崽都通通归入了学校,妈妈们也顿时倍感轻松(当然,疫情区..
2022-09-29 18:14 -
6个常见习惯可能导致不孕,你中招了吗?
1、久坐容易造成血液循环不畅、盆腔处血液循环受阻而引发妇科疾病甚至不孕症,比如:导致经血逆流入输卵管、子宫及卵巢,引发子宫内膜异位症、巧克力囊肿等疾病,影响生殖..
2022-11-05 23:16 -
女性备孕叶酸怎么吃有讲究-四大误区你中招了吗
女性备孕叶酸怎么吃?叶酸对于备孕中和怀孕中的女性都是非常重要的,几乎所有的女性都会在备孕和怀孕的时候补充叶酸,因为可以有效预防胎儿是畸形儿的情况,但是补充叶酸也..
2022-12-08 12:17 -
能挣大钱的人通常都是在这几个月份出生的 你中招了吗
钱是我们很多物质生活的基础,这就是我们每天这么辛苦的努力赚钱的原因,我们说想要赚大钱的话,一个是要看你的运气好不好,再一个就要看你有没有这样的能力,一个是先天的..
2023-04-04 16:52 -
口吃会遗传下一代吗 口吃遗传迷之误区你中招了吗
每位父母都想将自己所有的优点都遗传给宝宝,但是遗传不只是优势,还有父母双方的一些疾病。例如,父亲有色盲就一定会遗传女儿,妈妈有色盲就一定会遗传给儿子;这时不少父..
2023-04-08 07:43 -
8个征兆说明你怀孕了,最明显的症状看看你中招了没?
女人怀孕初期最明显的症状有哪些?有些女性对孕早期的反应不是很熟悉,经常会误以为是月经不调的症状,这种情况下如果服用了药物,或是有吸烟饮酒的情况,会令孕妇到临产前..
2023-04-12 09:00 -
补充宝宝营养的错误认知,你中招了吗?
在孩子生长发育的关键阶段中,孩子营养元素的摄入是保证孩子健康成长发育的基础性的规范,我们作为父母的在孩子的日常营养搭配方面一直都是尽心尽力的去学习去进行,都是希..
2023-04-28 09:40 -
酒后乱性 激情过后“中招”的宝宝还能不能要?
越来越多年轻夫妻知道,优生优育,不仅要准妈妈要做好很多准备工作,准爸爸也是不可缺席的。孕育优质宝宝,夫妻双方至少在怀孕前三个月开始调养身体。孕前双方需要做的除了..
2023-05-08 07:05 -
婆媳矛盾三大原因 这一点最致命 也许你就中招了
婆媳关系一直都是家庭关系中比较难处理的,因为婆婆是老一辈的人,媳妇是新时代的人,两代人因为价值观、代际差等原因,在生活中就会难以避免的产生各种分歧。婆媳关系处理..
2023-05-15 08:09 -
女性备孕的五点雷区,很多人都中招了!
谈到备孕大家似乎都有说不完的话题,但是在备孕过程中需要准备以及要注意的事情很多,备孕也是有很多讲究的,还有可能是你没有很好地理解备孕,不小心就误入了备孕雷区,今..
2023-05-18 09:01 -
童子命婚姻好的八字命格 看你中不中招
都说童子命的婚姻是最不好的,不是遇不到自己喜欢的人,就是结了婚也会因为各种各样的原因分离,总之大部分的童子命婚姻都是不好的。但是也有例外的,那童子命婚姻好的八字..
2023-06-03 22:10 -
关于备孕的这些误区,你中招了吗?
孕育小生命是一个喜悦而庄严的神秘体验,夫妻如同将一株幼苗精心培育成郁郁葱葱的参天大树,插秧、浇水、施肥,在孕育希望的旅程中呵护备至。这一过程漫长而又充满期待,夫..
2023-06-09 08:52 -
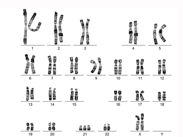
这4类孕妇更容易易生唐氏儿!高龄妈妈中招风险太高
唐氏儿患有染色体缺陷,出生后由于疾病影响,不能正常生活,家庭和孩子自身都非常痛苦。一般高龄孕妇,家族携带遗传基因、以及在备孕前后感染病毒和长期处在污染环境中的孕..
2023-06-28 09:52 -
三类人移植后着床时间会更晚,子宫内膜薄时就中招了
试管婴儿是目前不孕不育症患者要小孩的重要途径,影响试管成功率的因素有很多,其中试管移植后胚胎的着床时间是重要因素之一,一般来说子宫内膜偏薄、卵巢黄体功能不全以及..
2023-07-03 10:17 -
这些事情在女人怀孕后是不能做的 你中招了吗
女性怀孕后哪些事情要注意,什么事情不能做?当女性月经推迟后有可能是怀孕所导致的,一定要到医院做检查确定自己是不是怀孕了,此后,日常生活中也要多注意一些事情,因为..
2023-08-10 09:03 -
挽回爱情误区,你中招了吗?
在人生中遇到自己喜欢的人,靠的是一种缘分,有些人一旦错过了,就是错过了一辈子,既然遇到了,那就要紧紧抓住,不要轻易的放手,世界上没有一段感情是没有受过伤的,也许..
2023-08-20 15:10 -
自己判断乳腺增生并不难,这个部位疼大概率是中招了
乳房增生是女性常见的一种良性疾病,一般来说不会对女性产生太大的影响,但是严重者可能会影响生活质量。而在我们的日常生活中,女性自己可以通过一些方式进行自查,判断自..
2023-08-27 09:31 -
验孕棒一深一浅是怎么回事 真的怀孕中招了吗?
验孕棒,对于女性朋友并不感到陌生,现代女性对性行为越来越开放,只要她们遇到心仪的对象,两个人情投意合时她们可能就会付出一切了。当她们大姨妈迟迟不来时,就会去药店..
2023-09-05 07:22 -
怀孕都会长斑吗?连少女脸陈意涵也中招
陈意涵大概是所有人心中少女的模样,永远充满活力,看到她的微笑简直能够让心情都变好。一张少女脸简直让人不敢相信她已经当妈啦了,只要一点小瑕疵暴露了,那就是脸侧的斑..
2023-10-02 13:47 -
刚受孕成功几天的症状有哪些 看看你中招了没
在结婚以后,大家最想要的应该就是一个属于自己的孩子吧,可是因为现在年轻人生活的习惯真的是太差了,所以当代女性的身体都会出现各种各样的问题,想要怀上一个宝宝真的是..
2023-10-03 10:05