-
孩子一岁开始吐舌头就是唐氏儿?这五大表现才是判断依据
判断宝宝是不是唐氏综合征患者的依据主要有五个,首先看宝宝是否存在智力障碍,在此基础上如果还存在面部畸形发育、生长迟缓、伴生畸形以及贯通手,基本就能确诊患有唐氏综..
2023-07-01 10:32 -
无创dna是检查什么的 为何检测通过了还会生了唐氏儿?
无创DNA检查是一种产前筛查手段,不是诊断手段,这个大家一定需要注意,它提示给大家的只是个数值,低风险,高风险。而不是一句确定的话,染色体未见明显异常(产前诊断给的..
2023-09-10 09:12 -
无创dna21三体高风险约等同唐氏儿,严重时要终止妊娠
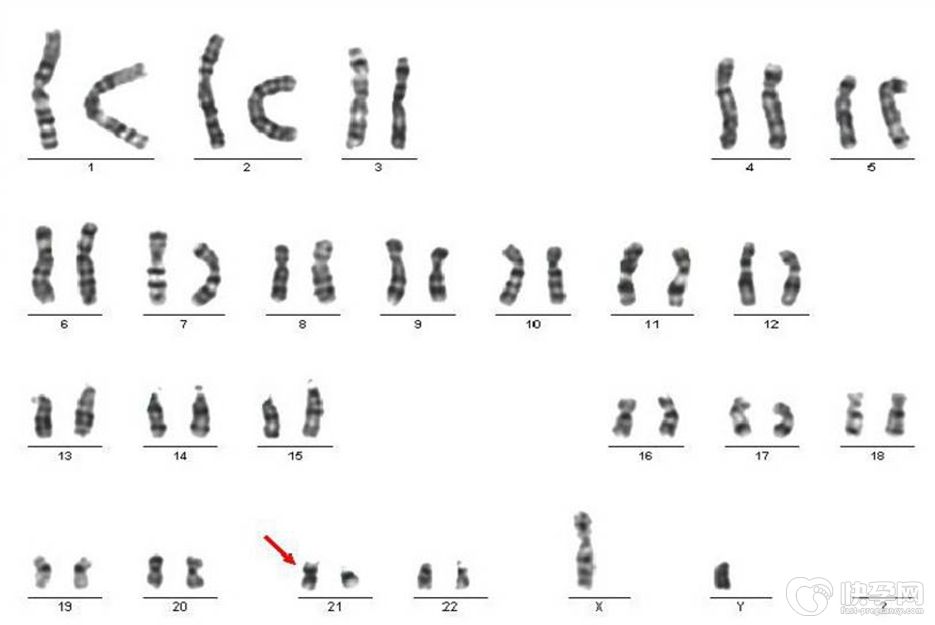
无创dna检查21三体的准确率很高,所以当无创dna提示高风险的时候,说明胎儿患21三体的几率非常大,但是不管是唐筛高风险还是无创dna高风险,都要做羊水穿刺进行胎儿染色体..
2023-10-11 15:13 -
哪种孕妇容易生出唐氏儿?这4类要小心
自从怀孕后,每一次产检都会让我非常紧张,只有在看到各项指标正常后,我和丈夫才能大大的松一口气。而在所有产检中,有一项唐氏筛查就非常重要,目的主要是检测胎儿患先天..
2024-07-12 09:25 -
生过一个唐氏儿二胎做二代试管婴儿可以避免吗?
我第一胎生了一个女孩,长的挺可爱机灵的,结果在一岁的时候发现有唐氏儿的症状,有点呆,真是天不遂人愿啊,近期我和老公打算再生一个二胎,由于他患有严重的死精症,所以..
2024-09-01 10:48 -
生过唐氏综合征再生育该如何避免唐氏儿,第三代试管婴儿是最优选择
对于唐氏综合征,目前还没有治疗方法,所以当唐氏儿一出生,就是一部“悲剧”的开始。不少健康夫妻生育唐氏儿的新闻屡见不鲜,究其根本就是因为染色体异常导致的。那么生过..
2024-09-21 10:07 -
高龄做试管婴儿可以避免唐氏儿吗,如何预防生出唐氏儿-带你一窥到底
随着国内新生儿的数量下降,国家为了提高未来人口的数量因此鼓励夫妻生育二孩、三孩,并且还出台了生二孩或三孩的相关政策。对于高龄女性来说由于各方面的因素更加的害怕出..
2024-10-07 09:46 -
安徽阜阳市:开展免费基因筛查以预防唐氏儿出生
唐氏综合征又叫先天愚型、Down综合征,是由于染色体异常导致的疾病,孕妇年龄越大这类疾病发生的风险越高,同时危害也非常大,因此安徽阜阳市“健康扶贫”再升级,全面启动..
2024-11-18 09:12 -
花七万多做试管婴儿还能生出唐氏儿?到底值不值
前段时间有个新闻,有一对来自湖南的夫妻,因为有一个女儿想再要一个儿子,就托人去当地的医院花七万多做试管婴儿。结果生下来不但不是儿子,还患有唐氏综合征!结果夫妻两..
2025-03-07 09:50 -
唐氏儿是什么原因造成的,大多是这四个因素惹的祸
据统计,新生儿染色体异常的发生率为5-6/1000,唐氏综合症约为1/800。一般来说,如果母亲年龄超过35岁,唐氏综合症患儿的出生率可高达1/350。按照目前的出生率,我国平均每20分..
2025-03-28 09:09 -
唐氏儿b超五大特征图,面部特征很明显
唐氏儿的出生,不仅是婴儿本人的“灾难”,也是整个家庭的“灾难”,因为患有唐氏综合征的婴儿除了智力低下外,还常伴有先天性心脏病等疾病,寿命大多比普通人短。但其实现..
2025-06-17 09:30 -
唐氏儿胎动早力气大是真是假-3类孕妇易生唐氏儿
胎动早与唐氏儿没有太大的关系。胎动早主要因为腹壁较薄,胎儿在宫腔内活动的幅度较大,尤其对于曾经怀过孕的人群,可能会更加的敏感,并不能提示存在唐氏儿。一般情况下建..
2025-08-20 10:40 -
7种方式判断是不是唐氏儿,唐氏儿的临床表现为你逐一介绍
7种方式判断是不是唐氏儿,唐氏儿的临床表现为你逐一介绍。唐氏综合征,也称为21三体综合征,先天愚型或Down综合症,是一种由婴儿细胞染色体异常引起的疾病。正常人的细胞..
2025-09-16 12:50