-
nt检查吃巧克力有什么作用?
nt检查是一项十分重要的孕期检查项目,一般将13周作为nt检查的最佳时间,但是很多孕妇在进行nt检查的时候往往会因为胎儿的位置不对而白跑一趟,在这样的情况下需要掌握一定..
2023-03-30 08:47 -
女性排便疼痛要警惕,可能盆腔长了“巧克力”?!
近年来,45岁的王女士(化名)频繁出现排便疼痛,伴有肛门坠胀感和大便次数增多,苦不堪言。王女士以为是肠胃出了问题,多次到胃肠外科就诊都无功而返。近日,王女士到南方..
2023-04-06 12:12 -
巧克力囊肿怀孕几率大吗
巧克力囊肿是妇科疾病的一种,是会影响怀孕的。一般情况下,如果在医院检查中发现有巧克力囊肿,医生一般会叮嘱一定要早点结婚生小孩,不然可能怀不上。因为这个疾病拖得时..
2023-06-07 07:29 -
四维彩超露脸好方法汇总,使用巧克力宝宝配合一次过
女性在整个怀孕阶段会遇到很多检查,其中四维彩超是一种常见的排畸检查,这个检查需要宝宝配合,但往往很多孕妇在做四维彩超的时候会将自己脸遮挡住,让医生看不清楚,导致..
2023-07-01 09:38 -
amh低腺肌症双侧巧克力囊肿医生让我做手术请问术后amh会慢慢恢复吗
2018年,意大利学者研究发现,巧克力囊肿患者的AMH值是明显低于正常的女性的,并且巧克力囊肿患者的卵巢皮质中卵泡密度也呈下降趋势。但此并不能证明巧囊会导致amh值变低..
2023-07-03 07:44 -
孕妇可以吃巧克力吗
女性朋友如果怀孕的话一定要注意日常的饮食,养成良好的饮食习惯,因为在怀孕期间,有很多食物都不适合孕妇食用,比如说热量过多,或者是糖分过高的食物,很有可能造成妊辰..
2023-07-07 07:08 -
孕妇能不能吃巧克力豆?孕妇吃巧克力豆注意事项
怀孕之后,吃什么、喝什么可不能随意为之,要知道有的食物是禁令食用的。毕竟孕妇这一群体非常特殊,妈妈一个人吃两个人补,吃进嘴里的每一口食物,都会对胎儿宝宝产生影响..
2023-07-09 08:49 -
巧克力囊肿影响怀孕吗 巧克力不再是甜蜜的代名词
巧克力是很多人最爱的美食之一,诗人将巧克力比作人生,因为有苦有甜,还有很多意想不到的惊喜。巧克力代表浪漫和甜蜜,可有一种女性疾病也叫巧克力,那就是巧克力囊肿。这..
2023-08-12 07:05 -
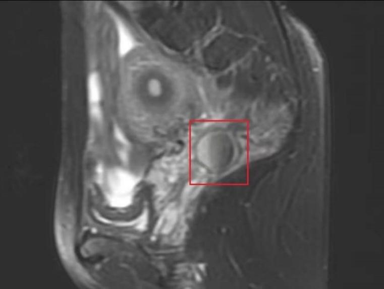
巧克力卵巢囊肿哪些症状
巧克力卵巢囊肿在女性疾病中是属于较为严重的疾病,这种疾病给女性身心的危害都是巨大的,为什么呢?因为巧克力卵巢囊肿出现的症状可以让女性失去怀孕能力,可以造成卵巢癌..
2023-09-26 16:13 -
巧克力囊肿多次复发 选择在浙江省妇女保健院做试管婴儿
2018年6月,当时未婚的我来月经非常疼。之前一直都是第一天有点疼,其他时候没什么感觉。后来,辗转了几个医院最后在肿瘤医院做了右侧巧克力囊肿微创手术。术后复查两次没..
2024-01-14 10:17 -
巧克力囊肿复发,只能在乌海市妇幼保健院试管婴儿
我和我老公谈了5年只领了证,因为疫情也还没来得及办婚礼。结果去年夏天腹痛查出来双侧巧克力囊肿复发(15年做过巧囊剥除)还伴随着包裹积液。看过的医院,几乎所有医生都..
2024-02-03 09:59 -
巧克力囊肿复发,只能在乌海市妇幼保健院做第二代试管婴儿
我和我老公谈了5年只领了证,因为疫情也还没来得及办婚礼。结果去年夏天腹痛查出来双侧巧克力囊肿复发(15年做过巧囊剥除)还伴随着包裹积液。看过的医院,几乎所有医生都..
2024-02-13 09:46 -
德州市人民医院,巧克力囊肿第二代试管婴儿流程分享
我是2019年开始备孕的,但是一直没有怀孕,所以开始各种医学咨询。先是检查,医生没说我不能自然怀孕;然后是中医疗养,三甲中医医院的名医堂,外地的年轻中医等等。所有这..
2024-04-03 13:01 -
一文解读什么是巧克力囊肿要怎样治疗
卵巢巧克力囊肿对女性朋友来说是一个很令人烦恼的疾病,对女性的身体健康有着巨大的影响和危害。那么什么是巧克力囊肿呢,一起看看吧。一、什么是巧克力囊肿卵巢巧克力囊肿..
2024-04-16 09:09 -
有巧克力囊肿该如何做安徽助孕试管婴儿?
什么是巧克力囊肿?巧克力囊肿是女性患有子宫内膜异位症的一种病变,巧克力囊肿的发生主要是由于女性在月经期间出现子宫壁脱落出子宫内膜碎片引起引流不畅,导致经血不能完..
2024-04-24 09:27 -
孕21周做四维彩超检查需要提前30分钟吃巧克力吗?
我现在怀孕21周加4天,准备过2天去医院做四维彩超检查,看看宝宝的发育有没有问题,上一次孕检完医生通知我说做四维要提前吃巧克力,但没告诉我多久吃,很想知道答案,在网..
2024-05-26 09:54 -
女性经期可以吃巧克力吗,女性经期的5个注意事项
巧克力是以可可粉为主要原料制成的一种甜食,不仅口感细腻甜美,且还有一股浓郁的香气,是很多女性喜欢的零食之一。女性在来月经期间饮食方面是有很多禁忌的,那么,女性在..
2024-06-09 09:52 -
巧克力囊肿做试管婴儿需要什么方案?附注意事项
巧克力囊肿,即子宫内膜异位症,是一种影响女性生育健康的常见疾病。对于患有巧克力囊肿的女性,试管婴儿技术提供了一种有效的生育途径。然而,成功进行试管婴儿治疗需要一..
2024-06-25 09:18 -
2cm巧克力囊肿5年不孕,俄罗斯试管婴儿助产双胞胎
巧克力囊肿试管婴儿助孕成功经验分析巧克力囊肿俄罗斯试管婴儿助孕双胞胎好孕分享我和老公认识得比较久,我们是高中校友,当时我们想的是有了孩子再结婚,结果一直到28岁我..
2024-07-26 09:13 -
哺乳期可以吃巧克力吗-吃多了会有以下6种危害
巧克力是所有女生都喜欢吃的一种甜食。很多女性在生完宝宝都很想吃巧克力,但是在哺乳期间要喂养宝宝在饮食上非常注意不敢乱吃,哺乳期可以吃巧克力吗,这是很对女性想知道..
2024-08-08 09:29