-
惊!经期吵架女人容易长肿瘤?
传闻是这样说的,经期排血是排毒,也会流失大量营养,免疫下降调节力变弱,故女性很容易生气,她变得敏感是生理的敏感导致精神敏感,控制情绪能力下降。如果经期期间和你吵..
2023-04-27 11:37 -
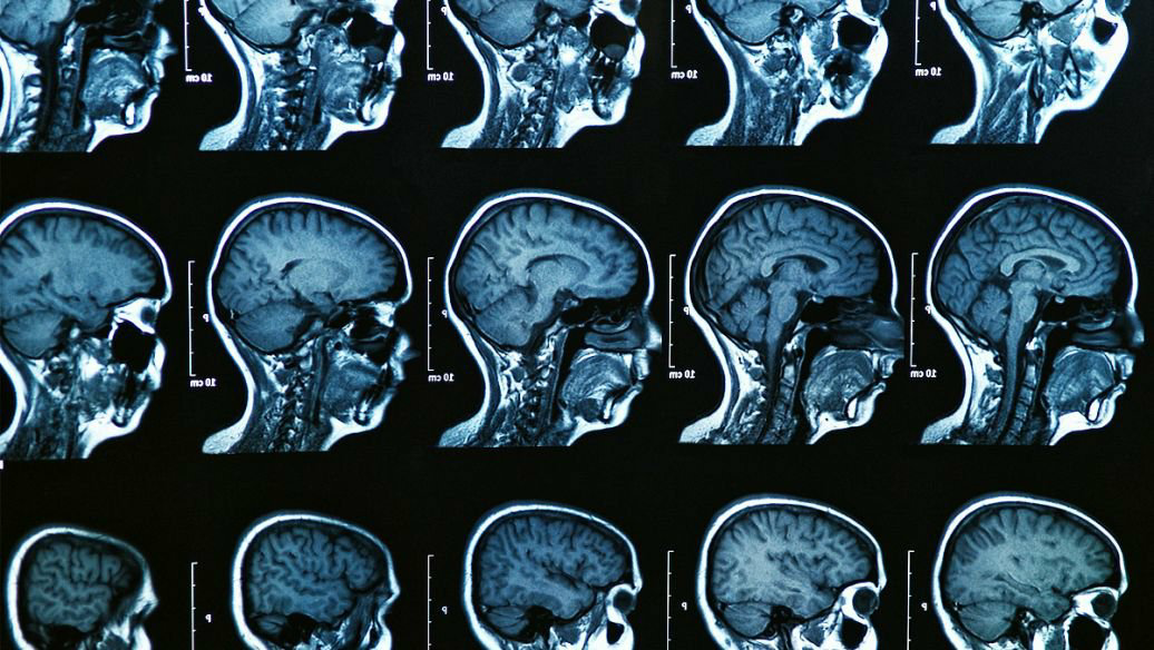
颅脑肿瘤治疗
颅脑肿瘤有脑部原发性肿瘤如脑胶质瘤、脑膜瘤、听神经瘤以及他神经鞘瘤、脑垂体瘤、血管性肿瘤、先天肿瘤等,也有人体别的部位肿瘤迁移至脑部产生的脑转移瘤。近年来后面一..
2023-05-28 09:40 -
卵巢癌转移
最新统计,恶性卵巢瘤双侧生长者占75‰,而良性卵巢双侧者仅占15‰,肿块固定是卵巢恶性肿瘤的特点之一。早期及转移性卵巢如克鲁根勃瘤例外。恶性卵巢肿瘤的转移与生长,与..
2023-06-06 07:32 -
卵巢癌“跑”进14岁少年肺里
又到复诊时间,14岁的小余在杭州市二医院肿瘤科病区开心地玩着滑板,丝毫看不出疾病缠身的样子。4个多月前,小余呼吸困难,吸着氧气被抬进医院,命悬一线。罕见“卵巢癌”..
2023-06-06 10:23 -
少女大肚原是卵巢肿瘤
“医生,您看看我的女儿是不是怀孕了?”焦急的父母气冲冲地带着未满18岁但却大腹便便的女儿来做人流手术。然而经过仔细的检查,结果却让父母目瞪口呆:女儿并不是真的怀孕..
2023-06-06 14:32 -
专家:女性子宫肌瘤发病率现年轻化趋势需警惕
近日,哈尔滨的一家医院为一名患有罕见多发性子宫肌瘤的未婚女孩实施了子宫肌瘤摘除手术,成功摘除患者体内50多个子宫肌瘤。今年26岁的晓林,一个月前因腰部疼痛到当地医院..
2023-06-14 10:42 -
疾病百科 卵巢肿瘤的症状
一、卵巢肿瘤病因卵巢肿瘤的发病因素不清,但环境和内分泌影响在卵巢肿瘤致病因素中最受重视。1、环境因素:工业发达国家及上层社会妇女卵巢癌发病率高,可能与饮食中高胆..
2023-06-22 09:30 -
宫颈囊肿是肿瘤吗?3个日常护理重点应牢记!
近年来宫颈囊肿的发病几率呈显著的上升趋势,其中以中年妇女患者居多。而近期我们发现,有很多的女性对宫颈囊肿这种疾病并不是很了解,她们一度认为这是一种妇科肿瘤,所以..
2023-07-02 07:52 -
液态肿瘤是什么意思,肿瘤冰冻切片是什么
卵巢肿瘤是妇科中常见的一种肿瘤。卵巢是生长在盆腔内部。由于卵巢肿瘤早期没有什么症状,所以很容易就会忽略。在发现时通常都是晚期了,所以对于女生的身体健康是有很大的..
2023-07-05 07:45 -
卵巢囊肿是肿瘤吗?不治疗能否自行消失?
在例行的妇科检查中,可能许多女性都会检查出一些情况,比如子宫肌瘤、卵巢囊肿或者宫颈囊肿。一般来说,如果没有明显的症状不适,医生都会建议先观察再选择是否继续治疗。..
2023-07-18 08:53 -
越补越病?患肌瘤女性最好别吃蜂胶、燕窝
枫斗、虫草、灵芝,肿瘤病人因体质而吃 “我到底好不好吃铁皮枫斗的?”许多肿瘤病人一见到专家,就急着问这个问题。因为探望他们的亲朋好友,几乎都会送这类补品。专家说..
2023-08-05 10:58 -
乳房里面硬硬的东西就是肿瘤吗?
近年来,随着“粉红丝带”受到越来越多的人关注,很多女性朋友也更注重自己的乳房健康,但有些女性在自检乳房时总会摸到硬硬的东西,还有点疼痛,这些硬硬的东西难道是乳..
2023-08-10 11:01 -
女性更年期月经不调或致肿瘤
女性进入更年期的重要标志之一是月经的变化,比如月经周期延长、失去规律性、月经量改变……这些表现意味着卵巢功能的衰退。女性进入更年期之后,卵巢往往不能维持以往每月..
2023-08-11 11:04 -
月经次数多与癌症有关吗
7月15日,据《美国医学会杂志》报道,丹麦科学家的最新研究发现,绝经后接受激素替代疗法的妇女,其卵巢癌危险会大幅度增加。研究负责人,哥本哈根大学琳达·斯坦路德·莫..
2023-08-12 11:13 -
阴道恶性肿瘤治疗原则及方法
阴道恶性肿瘤常常是继发性的,可自子宫颈癌直接蔓延,或来自子宫内膜癌,卵巢癌及绒毛膜癌,另外膀胱、尿道或直肠癌亦常可转移至阴道。原发性阴道恶性肿瘤很罕见,约占女..
2023-08-12 12:15 -
引起阴道出血的肿瘤
除了少数的妇科炎症外,通常情况下女性发生异常的阴道出血多半是由于一些妇科肿瘤引起的。那么,引起阴道出血的肿瘤有哪些呢?专家指出,葡萄状肉瘤、子宫内膜癌、宫颈癌、..
2023-08-20 13:45 -
子宫内膜癌饮食注意“六宜四忌”
子宫内膜癌,又称为子宫体癌,是妇科常见的恶性肿瘤,发病率仅次于子宫颈癌。子宫内膜癌的真正发病原因迄今不明,但其发病的危险因素却长期被人们注意,好发于更年期和绝经..
2023-09-08 08:03 -
警惕!盲目的减肥美白易患子宫肌瘤
关于子宫肌瘤的确切病因,多年来医学界都在不断地探索研究,至今仍然不解。但临床研究表明,子宫肌瘤与女性体内雌性激素过高或性激素水平紊乱有关。而致病原因近年又有了新..
2023-09-08 09:28 -
女性为什么会患上卵巢肿瘤
卵巢肿瘤,属于一种现在女性容易患上的殖器肿瘤,很多女性患上之后都会出现腹痛、压迫症状,轻微的仅仅需要药物进行治疗,要是严重的话,就需要及时进行手术治疗,很多女性..
2023-09-28 11:15 -
卵巢肌肉来源肿瘤治疗方法是什么
每个疾病都有着偏方可以治疗,对于卵巢肌肉来源肿瘤这个比较有危害的疾病大家可能还不知道有哪些治疗方法,任何的时候患者都不能忘记疾病的治疗,为了让卵巢肌肉来源肿瘤患..
2023-09-28 11:51